症例写真一覧
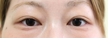
二重まぶた(埋没法)
施術名
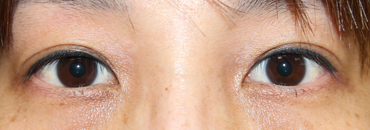
【挙筋法】一重まぶたを二重まぶたに

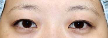
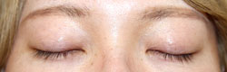
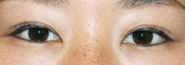
Before

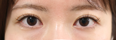
After (2年7カ月後)
~ この症例の経過 ~
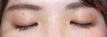
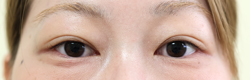
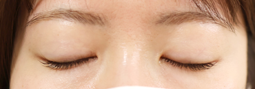
![]() |
![]() |
![]() |
施術直後 |
約2週間後 |
2年7カ月後 |
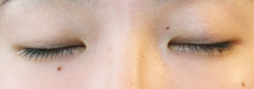
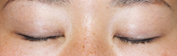
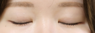
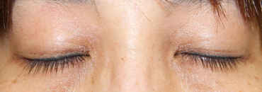
![]() |
![]() |
![]() |
施術直後(閉瞼) |
約2週間後(閉瞼) |
2年7カ月後(閉瞼) |
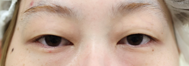
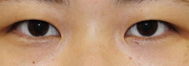
~ 左まぶたの留め直し ~
初回の二重埋没法(挙筋法)から4年2カ月が経過した時点で、左まぶたの糸が外れてしまったため、左まぶたのみ二重まぶた埋没法(挙筋法)による留め直しを行いました。

4年2カ月後(左まぶた修正前)

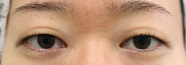
5年7.5カ月後(左まぶた修正1年5.5カ月後)
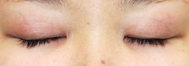
![]() |
![]() |
![]() |
左まぶた修正前 |
左まぶた修正1カ月後 |
左まぶた修正1年5.5カ月後 |
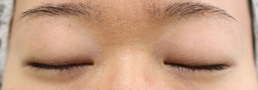
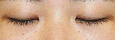
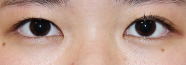
![]() |
![]() |
![]() |
左まぶた修正前(閉瞼) |
左まぶた修正1カ月後(閉瞼) |
左まぶた修正1年5.5カ月後(閉瞼) |
症例解説
左まぶたの二重修正後1カ月の時点では、やや腫れが残っているものの、ラインはきれいに整っています。1年5.5カ月後には、左右差のない自然な二重に仕上がっています。
もともとこの患者様は、上まぶたにくぼみが出やすい「サンケンアイ」の傾向があり、まぶたの構造上、埋没法では糸が緩みやすい特徴があります。同様に何度も糸が緩んでしまう場合には、より安定した結果が得られる二重まぶた全切開法のご検討をおすすめしています。
■標準料金
二重まぶた埋没法(挙筋法) 両側 ¥110,000
二重修正(留め直し) ¥5,500
■リスク・副作用・合併症
二重まぶた埋没法(挙筋法)
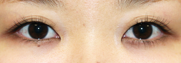
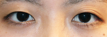
施術名
【挙筋法】一重まぶたを二重まぶたに
Before
After (1年9.5カ月後)
~ この症例の経過 ~
![]() |
![]() |
![]() |
Before |
10カ月後 |
1年9.5カ月後 |
![]() |
![]() |
![]() |
Before(閉瞼) |
10カ月後(閉瞼) |
1年9.5カ月後(閉瞼) |
症例解説
この患者様はアイプチを4年間していました。その影響か左側にラインの癖がついていました。挙筋法による二重まぶた埋没法を行い、術後10カ月目の経過でも綺麗な二重のラインです。1年9.5カ月後の経過ではラインが落ち着いて自然な二重まぶたになりました。
■標準料金
二重まぶた埋没法(挙筋法) 両側 ¥110,000
■リスク・副作用・合併症
二重まぶた埋没法(挙筋法)
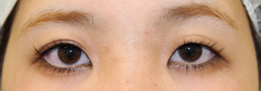
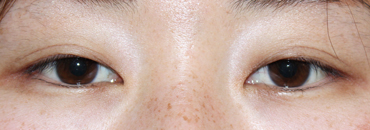
施術名
【挙筋法】一重まぶたを二重まぶたに
Before
After (1年7.5カ月後)
~ この症例の経過 ~
![]() |
![]() |
![]() |
施術直後 |
1.5カ月後 |
1年7.5カ月後 |
![]() |
![]() |
![]() |
施術直後(閉瞼) |
1.5カ月後(閉瞼) |
1年7.5カ月後(閉瞼) |
症例解説
挙筋法による二重まぶた埋没法を行い、術後1.5カ月、1年7.5カ月の経過です。ラインが落ち着いて自然な二重まぶたになりました。
■標準料金
二重まぶた埋没法(挙筋法) 両側 ¥110,000
■リスク・副作用・合併症
二重まぶた埋没法(挙筋法)
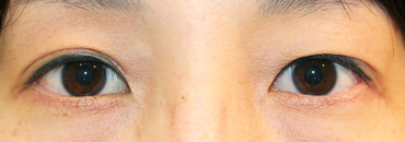
施術名
【挙筋法】一重まぶたを二重まぶたに
Before
After (9.5カ月後)
~ この症例の経過 ~
![]() |
![]() |
![]() |
Before |
約2週間後 |
9.5カ月後 |
![]() |
![]() |
![]() |
9.5カ月後 |
1年5カ月後 |
1年7カ月後 |
症例解説
挙筋法による二重まぶた埋没法を行い、術後約2週間の経過ではやや腫れが見られます。9.5カ月後では腫れも落ち着き、二重のラインも下がっています。9.5カ月以降の経過も良好な症例です。埋没法は表情の癖や瞼の動きにより、糸が緩むことがあります。定期的に経過をみていくことはとても重要です。
■標準料金
二重まぶた埋没法(挙筋法) 両側 ¥110,000
■リスク・副作用・合併症
二重まぶた埋没法(挙筋法)
施術名
【挙筋法】一重まぶたを二重まぶたに
Before
After (6.5カ月後)
~ この症例の経過 ~
![]() |
![]() |
![]() |
施術直後 |
約2週間後 |
6.5カ月後 |
![]() |
![]() |
![]() |
施術直後(閉瞼) |
約2週間後(閉瞼) |
6.5カ月後(閉瞼) |
症例解説
一重まぶたに対して、挙筋法による二重まぶた埋没法を行いました。施術直後は腫れもあり、ラインが幅広に感じられますが、経過とともに徐々にラインが落ち着いていくので心配ありません。6.5カ月後の経過ですがラインも落ち着いています。
■標準料金
二重まぶた埋没法(挙筋法) 両側 ¥110,000
■リスク・副作用・合併症
二重まぶた埋没法(挙筋法)
施術名
【挙筋法】一重まぶたを二重まぶたに+ボトックス注射
-
Before
-
After (7カ月後)
BeforeとAfterの写真をタップ(クリック)すると「目を見開いた状態」がご覧いただけます。
施術前は眉を大きく上げて目を開けていますが、7カ月後にはボトックスの効果により眉の動きが抑えられ、自然な開瞼となっています。
~ この症例の経過 ~
![]() |
![]() |
![]() |
施術直後 |
0.5カ月後 |
7カ月後 |
![]() |
![]() |
![]() |
施術直後(閉瞼) |
0.5カ月後(閉瞼) |
7カ月後(閉瞼) |
症例解説
一重まぶたに対し、挙筋法による二重まぶた埋没法を行った症例です。この患者様はまぶたに左右差があり、さらに目と眉の距離が近いため、広い二重幅を作るのが難しい状態でした。
施術直後は腫れにより二重ラインがやや広く見えますが、時間の経過とともに自然なラインへと落ち着いていきました。
また、一重まぶたの方によくみられる特徴として、おでこと眉毛を持ち上げて目を開ける癖がありました。これにより埋没法の糸が緩みやすくなるため、今回は埋没法と同時におでこへのボトックス注射も併用しました。これにより眉毛の動きが抑られ、自然な二重まぶたの開き方になりました。
■標準料金
二重まぶた埋没法(挙筋法) 両側 ¥110,000
ボトックス注射 ¥55,000
■リスク・副作用・合併症
二重まぶた埋没法(挙筋法)
ボトックス注射
施術名
【挙筋法】一重まぶたを二重まぶたに
Before
After (6カ月後)
~ この症例の経過 ~
![]() |
![]() |
|
Before |
6カ月後 |
|
![]() |
![]() |
|
Before(閉瞼) |
6カ月後 (閉瞼) |
症例解説
一重まぶたに対して、挙筋法による二重まぶた埋没法を行いました。6カ月後の経過ですがラインも落ち着いています。
■標準料金
二重まぶた埋没法(挙筋法) 両側 ¥110,000
■リスク・副作用・合併症
二重まぶた埋没法(挙筋法)
施術名
【挙筋法】一重まぶたを二重まぶたに
Before
After (5カ月後)
~ この症例の経過 ~
![]() |
![]() |
![]() |
施術直後 |
約2週間後 |
5カ月後 |
![]() |
![]() |
![]() |
施術直後(閉瞼) |
約2週間後(閉瞼) |
5カ月後(閉瞼) |
症例解説
一重まぶたに対して、挙筋法による二重まぶた埋没法を行いました。施術直後ですが、腫れ赤みが見られます。約2週間後では赤みはほぼ目立たなくなり腫れも落ち着いて見えます。5カ月後ではラインの高さも下がり、優しい印象の目元になりました。
■標準料金
二重まぶた埋没法(挙筋法) 両側 ¥110,000
■リスク・副作用・合併症
二重まぶた埋没法(挙筋法)
施術名
【挙筋法】一重まぶたを二重まぶたに
Before
After (3.5カ月後)
~ この症例の経過 ~
![]() |
![]() |
![]() |
Before |
施術直後 |
3.5カ月後 |
![]() |
![]() |
![]() |
Before(閉瞼) |
施術直後(閉瞼) |
3.5カ月後(閉瞼) |
症例解説
二重まぶた埋没法(挙筋法)を行い、3.5カ月後の経過では二重ラインの高さも落ち着いて、スッキリした印象の目元になりました。
■標準料金
二重まぶた埋没法(挙筋法) 両側 ¥110,000
■リスク・副作用・合併症
二重まぶた埋没法(挙筋法)
施術名
【挙筋法】一重まぶたを二重まぶたに
Before
After (2.5カ月後)
~ この症例の経過 ~
![]() |
![]() |
![]() |
施術直後 |
約2週間後 |
2.5カ月後 |
![]() |
![]() |
![]() |
施術直後(閉瞼) |
約2週間後(閉瞼) |
2.5カ月後(閉瞼) |
症例解説
挙筋法による二重まぶた埋没法を行い、施術直後ですが、腫れや赤みもあり二重のラインが幅広になっています。約2週間後の経過はまだ腫れが残っているようですが、時間の経過とともに二重のラインは下がっていきます。2.5カ月後ではほぼ落ち着いた高さになりました。
■標準料金
二重まぶた埋没法(挙筋法) 両側 ¥110,000
■リスク・副作用・合併症
二重まぶた埋没法(挙筋法)
施術名
【挙筋法】一重まぶたを二重まぶたに
Before
After (2カ月後)
~ この症例の経過 ~
![]() |
![]() |
![]() |
施術直後 |
約2週間後 |
2カ月後 |
![]() |
![]() |
![]() |
施術直後(閉瞼) |
約2週間後(閉瞼) |
2カ月後(閉瞼) |
症例解説
挙筋法による二重まぶた埋没法を行い、施術直後は腫れもあり二重のラインが幅広になっています。約2週間後の経過ですが直後よりはラインが下がっているのがみとめられます。2カ月後ではほぼ落ち着いた高さになりました。
■標準料金
二重まぶた埋没法(挙筋法) 両側 ¥110,000
■リスク・副作用・合併症
二重まぶた埋没法(挙筋法)
施術名
【挙筋法】一重まぶたを二重まぶたに
Before
After (2カ月後)
~ この症例の経過 ~
![]() |
![]() |
![]() |
施術直後 |
約2週間後 |
2カ月後 |
![]() |
![]() |
![]() |
施術直後(閉瞼) |
約2週間後(閉瞼) |
2カ月後(閉瞼) |
症例解説
一重まぶたに対して、挙筋法による二重まぶた埋没法を行いました。施術直後は腫れもあり、ラインが幅広に感じられます。約2週間後でもまだ腫れがあるように見えますが、経過とともに徐々に落ち着いていくので心配ありません。2カ月後では、ほぼ腫れも落ち着き、綺麗な二重まぶたになりました。
■標準料金
二重まぶた埋没法(挙筋法) 両側 ¥110,000
■リスク・副作用・合併症
二重まぶた埋没法(挙筋法)
施術名
【挙筋法】一重まぶたを二重まぶたに
Before
After (1.5カ月後)
~ この症例の経過 ~
![]() |
![]() |
|
Before |
1.5カ月後 |
|
![]() |
![]() |
|
Before (閉瞼) |
1.5カ月後 (閉瞼) |
症例解説
ここ数年で「上まぶたにラインができてきた」と感じるようになり、ご来院された患者様です。もともとは一重まぶたですが、上まぶたの皮膚にゆるみが生じたことで、ラインのように見える折れ込みが現れている状態と考えられました。
そのため、皮膚と眼瞼挙筋・挙筋腱膜を縦方向にしっかり引き寄せるヴァーティカル法を用いて、二重まぶた埋没法(挙筋法)を行いました。
術後1.5カ月の時点では、まだ軽度の腫れは残っていますが、上まぶたに見られていた曖昧なラインはしっかりとした二重ラインになりました。
■標準料金
二重まぶた埋没法(挙筋法) 両側 ¥110,000
■リスク・副作用・合併症
二重まぶた埋没法(挙筋法)
施術名
【挙筋法】一重まぶたを二重まぶたに
Before
After (1カ月後)
~ この症例の経過 ~
![]() |
![]() |
|
Before |
1カ月後 |
|
![]() |
![]() |
|
Before (閉瞼) |
1カ月後 (閉瞼) |
症例解説
一重まぶたに対して、挙筋法による二重まぶた埋没法を行いました。施術後1カ月ですが、二重のラインは落ち着いています。
■標準料金
二重まぶた埋没法(挙筋法) 両側 ¥110,000
■リスク・副作用・合併症
二重まぶた埋没法(挙筋法)
施術名
【挙筋法】一重まぶたを二重まぶたに
Before
After (1カ月後)
~ この症例の経過 ~
![]() |
![]() |
|
Before |
1カ月後 |
|
![]() |
![]() |
|
Before(閉瞼) |
1カ月後 (閉瞼) |
症例解説
一重まぶたに対して、挙筋法による二重まぶた埋没法を行いました。施術後1カ月ですが、二重のラインは落ち着いています。
■標準料金
二重まぶた埋没法(挙筋法) 両側 ¥110,000
■リスク・副作用・合併症
二重まぶた埋没法(挙筋法)
施術名
【挙筋法】一重まぶたを二重まぶたに
Before
After (1カ月後)
~ この症例の経過 ~
![]() |
![]() |
|
Before |
1カ月後 |
|
![]() |
![]() |
|
Before(閉瞼) |
1カ月後(閉瞼) |
症例解説
一重まぶたに対して、挙筋法による二重まぶた埋没法を行いました。術後1カ月の経過ではまだ少し腫れているように感じられますが、経過とともに徐々に腫れが引き、ラインが落ち着いていきます。
■標準料金
二重まぶた埋没法(挙筋法) 両側 ¥110,000
■リスク・副作用・合併症
二重まぶた埋没法(挙筋法)
施術名
【挙筋法】一重まぶたを二重まぶたに
Before
After (1カ月後)
~ この症例の経過 ~
![]() |
![]() |
![]() |
Before |
施術直後 |
1カ月後 |
![]() |
![]() |
![]() |
Before(閉瞼) |
施術直後(閉瞼) |
1カ月後(閉瞼) |
症例解説
一重まぶたに対して、挙筋法による二重まぶた埋没法を行いました。術後1カ月の経過ではまだ少し腫れているように感じられますが、経過とともに徐々に腫れが引き、ラインが落ち着いていきます。
■標準料金
二重まぶた埋没法(挙筋法) 両側 ¥110,000
■リスク・副作用・合併症
二重まぶた埋没法(挙筋法)
施術名
【挙筋法】一重まぶたを二重まぶたに+ボトックス注射
Before
After (1カ月後)
~ この症例の経過 ~
![]() |
![]() |
![]() |
Before |
施術直後 |
1カ月後 |
![]() |
![]() |
![]() |
Before(閉瞼) |
施術直後(閉瞼) |
1カ月後(閉瞼) |
症例解説
一重まぶたに対して、挙筋法による二重埋没法とボトックス注射を行った症例です。
この患者様は上まぶたが厚く、眉毛を上げて目を開いている傾向がありました。このような場合、内部の靭帯が太くまぶたの引き込みが妨げられていると考えられるため、埋没法では糸が緩む可能性があり全切開法をお勧めすることもあります。
今回は患者様のご希望により埋没法を選択しました。そのため、同時にボトックス注射を行うことで、眉毛の上げ下げを抑えて、まぶたの引き込みで目を開けやすくなるようにしました。
術後解説
施術直後は腫れがありますが、しっかりとした二重ラインができました。1カ月後は腫れも引いてきて、自然なラインになりました。
■標準料金
二重まぶた埋没法(挙筋法) 両側 ¥110,000
ボトックス注射 ¥55,000
■リスク・副作用・合併症
二重まぶた埋没法(挙筋法)
ボトックス注射
施術名
【挙筋法】一重まぶたを二重まぶたに
Before
After (3週間後)
症例解説
完全な一重まぶたに対して、挙筋法による二重まぶた埋没法を行いました。左右共に黒目の内側端からラインがでるようにシミュレーションしました。挙筋法により綺麗な二重まぶたになりました。
■標準料金
二重まぶた埋没法(挙筋法) 両側 ¥110,000
■リスク・副作用・合併症
二重まぶた埋没法(挙筋法)
施術名
【挙筋法】一重まぶたを二重まぶたに
Before
After (11日後)
~ この症例の経過 ~
![]() |
![]() |
|
Before |
11日後 |
|
![]() |
![]() |
|
Before(閉瞼) |
11日後 (閉瞼) |
症例解説
完全な一重まぶたに対して、挙筋法による二重まぶた埋没法を行いました。まだ施術後11日という早い段階ですが、腫れも目立たず、ラインも落ち着いています。※経過には個人差があります。
■標準料金
二重まぶた埋没法(挙筋法) 両側 ¥110,000
■リスク・副作用・合併症
二重まぶた埋没法(挙筋法)
施術名
【挙筋法】二重まぶたラインの改善
Before
After (1年9.5カ月後)
~ この症例の経過 ~
![]() |
![]() |
|
Before |
1年9.5カ月後 |
|
![]() |
![]() |
|
Before(閉瞼) |
1年9.5カ月後(閉瞼) |
症例解説
目頭側が三重になっていたまぶたに対して、挙筋法による二重まぶた埋没法を行いました。施術から1年9.5カ月が経過した現在も、はっきりとした美しい二重ラインが保たれています。
■標準料金
二重まぶた埋没法(挙筋法) 両側 ¥110,000
■リスク・副作用・合併症
二重まぶた埋没法(挙筋法)
施術名
【挙筋法】ぼやけた二重まぶたラインの改善
Before
After (7カ月後)
~ この症例の経過 ~
![]() |
![]() |
|
Before |
7カ月後 |
|
![]() |
![]() |
|
Before(閉瞼) |
7カ月後 (閉瞼) |
症例解説
二重まぶたのラインがぼやけてハッキリしないまぶたに対して、挙筋法による二重まぶた埋没法を行いました。施術後7カ月が経過した状態ですが、ハッキリした二重まぶたのラインができています。
■標準料金
二重まぶた埋没法(挙筋法) 両側 ¥110,000
■リスク・副作用・合併症
二重まぶた埋没法(挙筋法)
施術名
【挙筋法】ぼやけた二重まぶたラインの改善
Before
After (1.5カ月後)
~ この症例の経過 ~
![]() |
![]() |
![]() |
Before |
施術直後 |
1.5カ月後 |
![]() |
![]() |
![]() |
Before(閉瞼) |
施術直後(閉瞼) |
1.5カ月後(閉瞼) |
症例解説
施術前の状態から、施術直後、1.5カ月後の経過です。施術直後はやはり腫れがあります。
1.5カ月の経過ですが、腫れもおさまりラインも落ち着いています。元々の二重まぶたラインがぼやけていたのが、挙筋法による二重まぶた埋没法でハッキリとしたラインになりました。
■標準料金
二重まぶた埋没法(挙筋法) 両側 ¥110,000
■リスク・副作用・合併症
二重まぶた埋没法(挙筋法)
施術名
【挙筋法】二重まぶたラインの改善
Before
After (8カ月後)
~ この症例の経過 ~
![]() |
![]() |
|
Before |
8カ月後 |
|
![]() |
![]() |
|
Before(閉瞼) |
8カ月後(閉瞼) |
|
![]() |
![]() |
|
Before(最大開瞼) |
8カ月後(最大開瞼) |
症例解説
上まぶたが開きにくく、瞼縁(まつ毛の生え際)と眉毛の間の距離が長くなっていた症例です。また、上まぶたが開きにくいため、目を大きく開いた時に眉毛を上げて目を開く傾向がありました。
術後解説
8カ月後の経過ですが、上まぶたが深く引き込まれるようになって、瞼縁(まつ毛の生え際)と眉毛の間が狭くなり、上まぶたが開きやすくなりました。また眉毛を上げずに目が開きやすくなりました。重瞼線も綺麗になっています。
■標準料金
二重まぶた埋没法(挙筋法) 両側 ¥110,000
■リスク・副作用・合併症
二重まぶた埋没法(挙筋法)
▼左右差がある二重まぶたの改善
施術名
【挙筋法】左右差がある二重まぶたの改善+ボトックス注射
Before
After (5.5カ月後)
~ この症例の経過 ~
![]() |
![]() |
|
Before |
5.5カ月後 |
|
![]() |
![]() |
|
Before(閉瞼) |
5.5カ月後(閉瞼) |
|
![]() |
![]() |
|
Before(最大開瞼) |
5.5カ月後(最大開瞼) |
症例解説
目を開けたとき(開瞼時)に眉毛を使う(前頭筋を使って開瞼している)癖があった症例です。開瞼時は、本来後方にむかって上まぶたが引き込まれますが、前頭筋を使って開瞼していると、埋没法を行った場合には糸が緩みやすくなります。前頭筋を使って開瞼している時は、挙筋腱膜が伸びてしまっている可能性が高く、このような症例には二重全切開による挙筋腱膜再固定(伸びきってしまった挙筋腱膜の修正)をお勧めします。しかし、今回は埋没法を強く希望されたため、額にボトックスを注射して、開瞼時に眉毛が上がらないようにして、糸を緩みにくくしました。
術後解説
5.5カ月後の経過ですが、左右均等に綺麗な二重ラインになりました。また、眉毛を使わずに開瞼できています。
■標準料金
二重まぶた埋没法(挙筋法) 両側 ¥110,000
ボトックス注射 ¥55,000
■リスク・副作用・合併症
二重まぶた埋没法(挙筋法)
ボトックス注射
施術名
【挙筋法】左右差がある二重まぶたの改善
Before
After (1年9カ月後)
~ この症例の経過 ~
![]() |
![]() |
![]() |
Before |
1カ月後 |
1年9カ月後 |
![]() |
![]() |
![]() |
Before(閉瞼) |
1カ月後(閉瞼) |
1年9カ月後(閉瞼) |
症例解説
術後1年9カ月の経過ですが、後戻りすることなく左右とも綺麗な二重ラインが保たれています。
■標準料金
二重まぶた埋没法(挙筋法) 両側 ¥110,000
■リスク・副作用・合併症
二重まぶた埋没法(挙筋法)
施術名
【挙筋法】左右差がある二重まぶたの改善
Before
After (1年4カ月後)
~ この症例の経過 ~
![]() |
![]() |
|
Before |
1年4カ月後 |
|
![]() |
![]() |
|
Before(閉瞼) |
1年4カ月後 (閉瞼) |
症例解説
この患者様は二重まぶたの左右差があり、片側(左)のみ二重まぶた埋没法(挙筋法)を行いました。左右差が改善され、綺麗な二重まぶたになりました。
■標準料金
二重まぶた埋没法(挙筋法) 両側 ¥110,000
■リスク・副作用・合併症
二重まぶた埋没法(挙筋法)
施術名
【挙筋法】左右差がある二重まぶたの改善
Before
After (6カ月後)
症例解説
挙筋法により左右対称で、綺麗な二重まぶたになりました。
■標準料金
二重まぶた埋没法(挙筋法) 両側 ¥110,000
■リスク・副作用・合併症
二重まぶた埋没法(挙筋法)
施術名
【挙筋法】左右差がある二重まぶたの改善
Before
After (7カ月後)
~ この症例の経過 ~
![]() |
![]() |
|
Before |
7カ月後 |
|
![]() |
![]() |
|
Before(閉瞼) |
7カ月後(閉瞼) |
症例解説
左右差のある二重まぶたラインの改善です。挙筋法による二重まぶた埋没法で手術を行いました。術後7カ月の経過の経過では左右差が改善されています。
■標準料金
二重まぶた埋没法(挙筋法) 両側 ¥110,000
■リスク・副作用・合併症
二重まぶた埋没法(挙筋法)
施術名
【挙筋法】左右差がある二重まぶたの改善
Before
After (7.5カ月後)
~ この症例の経過 ~
![]() |
![]() |
|
Before |
7.5カ月後 |
|
![]() |
![]() |
|
Before(閉瞼) |
7.5カ月後 (閉瞼) |
症例解説
左右差のある二重まぶたラインの改善です。挙筋法による二重まぶた埋没法で手術を行いました。術後7.5カ月の経過の経過では左右差が改善されています。
■標準料金
二重まぶた埋没法(挙筋法) 両側 ¥110,000
■リスク・副作用・合併症
二重まぶた埋没法(挙筋法)
施術名
【挙筋法】左右差がある二重まぶたの改善
Before
After (2年7カ月後)
~ この症例の経過 ~
![]() |
![]() |
![]() |
||
Before |
1カ月後 |
2年7カ月後 |
||
![]() |
![]() |
![]() |
||
Before(閉瞼) |
1カ月後(閉瞼) |
2年7カ月後(閉瞼) |
症例解説
挙筋法による二重まぶた埋没法により、左右差を改善しました。術後2年7カ月の経過でも、左右均等な二重ラインが保たれています。
■標準料金
二重まぶた埋没法(挙筋法) 両側 ¥110,000
■リスク・副作用・合併症
二重まぶた埋没法(挙筋法)
施術名
【挙筋法】左右差がある二重まぶたの改善
Before
After (1カ月後)
症例解説
右は完全な一重まぶたで、左は黒目の中心からラインがでていて、左右非対称でした。挙筋法により左右対称で、綺麗な二重まぶたになりました。
■標準料金
二重まぶた埋没法(挙筋法) 両側 ¥110,000
■リスク・副作用・合併症
二重まぶた埋没法(挙筋法)
施術名
【挙筋法】左右差がある二重まぶたの改善
Before
After (1カ月後)
~ この症例の経過 ~
![]() |
![]() |
|
Before |
1カ月後 |
|
![]() |
![]() |
|
Before (閉瞼) |
1カ月後 (閉瞼) |
症例解説
この患者様は元々二重まぶたですが、二重ラインの左右差を改善するため二重まぶた埋没法(挙筋法)を行いました。
■標準料金
二重まぶた埋没法(挙筋法) 両側 ¥110,000
■リスク・副作用・合併症
二重まぶた埋没法(挙筋法)
施術名
【挙筋法】左右差がある二重まぶたの改善
Before
After (1カ月後)
~ この症例の経過 ~
![]() |
![]() |
|
Before |
1カ月後 |
|
![]() |
![]() |
|
Before(閉瞼) |
1カ月後 (閉瞼) |
症例解説
二重のラインに左右差があるまぶたに対して、挙筋法による二重まぶた埋没法を行いました。術後1カ月のためやや二重のラインが高く見えますが、左右差は改善されています。ラインの高さは時間の経過とともに落ち着いていきます。
■標準料金
二重まぶた埋没法(挙筋法) 両側 ¥110,000
■リスク・副作用・合併症
二重まぶた埋没法(挙筋法)
施術名
【挙筋法】左右差がある二重まぶたの改善(軽い眼瞼下垂もあり)
Before
After (9日後)
症例解説
右は黒目の内側端からラインがでていて、左は奥二重で左右非対称でした。夕方になるとアゴをあげて見るようになり、“軽い眼瞼下垂”の症状を認めました。また目頭の角度は大きいために末広がり型をシミュレーションしました。挙筋法により左右対称で、綺麗な二重まぶたになりました。上まぶたの皮膚が折り畳まれ、瞼縁と眉毛の間も近くなり、眼瞼下垂の症状も改善しました。
※本人は切開することに抵抗があり、今回は埋没法(挙筋法)を選択しましたが、今後眼瞼下垂の症状が再発するようなら挙筋腱膜前転術(切開による)も必要になるかもしれません。
■標準料金
二重まぶた埋没法(挙筋法) 両側 ¥110,000
■リスク・副作用・合併症
二重まぶた埋没法(挙筋法)
▼二重まぶた埋没法+修正、その他
施術名
【挙筋法】二重まぶた埋没法+他院修正
Before
After (4年9カ月後)
~ この症例の経過 ~
![]() |
![]() |
![]() |
施術直後 |
1年6.5カ月後 |
4年9カ月後 |
![]() |
![]() |
![]() |
施術直後(閉瞼) |
1年6.5カ月後(閉瞼) |
4年9カ月後(閉瞼) |
症例解説
この患者様は過去に他院で二重まぶた埋没法を受けられましたが、やり直しを希望し、当院を受診されました。アイプチをしていましたが、二重まぶた埋没法(挙筋法)により、綺麗な二重まぶたになりました。
■標準料金
二重まぶた埋没法(挙筋法) 両側 ¥110,000
他院修正料金 ¥11,000~220,000(難易度による)
他院相談料 紹介状あり¥3,300 紹介状なし¥5,500
■リスク・副作用・合併症
二重まぶた埋没法(挙筋法)
施術名
【挙筋法】二重まぶた埋没法+他院修正
Before
After (4カ月後)
~ この症例の経過 ~
![]() |
![]() |
|
Before |
4カ月後 |
|
![]() |
![]() |
|
Before(閉瞼) |
4カ月後 (閉瞼) |
症例解説
この患者様は過去に他院で二重まぶた埋没法を受けられましたが、やり直しを希望し、当院を受診されました。
■標準料金
二重まぶた埋没法(挙筋法) 両側 ¥110,000
他院修正料金 ¥11,000~220,000(難易度による)
他院相談料 紹介状あり¥3,300 紹介状なし¥5,500
■リスク・副作用・合併症
二重まぶた埋没法(挙筋法)
施術名
【挙筋法】二重まぶた埋没法+自院修正(埋没法を1回左側のみ)
Before
修正後1年4カ月(初回~5年9カ月後)
Before
修正後1年4カ月(初回~5年9カ月後)
~ この症例の経過 ~
↓症例の経過は下にスクロールで閲覧できます。
■標準料金
二重まぶた埋没法(挙筋法) 両側 ¥110,000
二重修正(留め直し) ¥5,500
■リスク・副作用・合併症
二重まぶた埋没法(挙筋法)
施術名
【挙筋法】二重まぶた埋没法+自院修正(埋没法を1回右側のみ)
Before
修正後9カ月(初回~4年3カ月後)
Before
修正後9カ月(初回~4年3カ月後)
症例解説
左右差のある二重まぶたに対して、挙筋法による二重まぶた埋没法を行いましたが、3年6カ月後に、右まぶたの二重ラインが左まぶたに比べて薄くなってきたため右側の糸のかけ直しを行いました。修正後9カ月後ですが、左右ともに綺麗な二重ラインになっています。
~ この症例の経過 ~
↓症例の経過は下にスクロールで閲覧できます。
■標準料金
二重まぶた埋没法(挙筋法) 両側 ¥110,000
二重修正(留め直し) ¥5,500
■リスク・副作用・合併症
二重まぶた埋没法(挙筋法)
施術名
【挙筋法】二重まぶた埋没法+自院修正(埋没法を1回)
Before
修正後8カ月後(初回~1年8カ月後)
Before
修正後8カ月(初回~1年8カ月後)
~ この症例の経過 ~
↓症例の経過は下にスクロールで閲覧できます。
■標準料金
二重まぶた埋没法(挙筋法) 両側 ¥110,000
二重修正(留め直し) ¥5,500
■リスク・副作用・合併症
二重まぶた埋没法(挙筋法)
施術名
【挙筋法】二重まぶた埋没法+自院修正(埋没法を1回左側のみ)+ボトックス注射
Before
修正後1カ月(初回~3年7カ月後)
Before
修正後1カ月(初回~3年7カ月年後)
症例解説
眉毛を上げて目を開ける癖があり、軽度の眼瞼下垂がみとめられる一重まぶたの症例です。
本来は切開による挙筋腱膜再固定術が適応となりますが、患者様のご希望により、二重まぶた埋没法を行いました。
術後3年が経過した頃から、左まぶたの糸が少し緩み、二重ラインの幅が狭くなってきたため、左まぶたの留め直しを行いました。また、眉毛を上げて目を開ける癖を改善する目的で、おでこにボトックス注射も併用しています。
修正後1カ月の経過では、腫れが少し残っていますが、はっきりとしたラインになりました。
~ この症例の経過 ~
↓症例の経過は下にスクロールで閲覧できます。
■標準料金
二重まぶた埋没法(挙筋法) 両側 ¥110,000
二重修正(留め直し) ¥5,500
ボトックス注射 ¥55,000
■リスク・副作用・合併症
二重まぶた埋没法(挙筋法)
ボトックス注射
施術名
【挙筋法】二重まぶた埋没法+自院修正(埋没法を1回左側のみ)
Before
左側修正後1カ月、右側1カ月
(左側初回~4年4.5カ月後)
Before
左側修正後1カ月、右側1カ月
(左側初回~4年4.5カ月後)
症例解説
初回は、二重のラインがぼやけていた左まぶたに対して、二重埋没法(挙筋法)を行いましたが、初回から約4年3カ月後に、左まぶたが三重のようなラインになったため、再施術を行いました。
今回は、左まぶたに軽いサンケンアイの傾向がみられたため、軽度の眼瞼下垂にも効果的なヴァーティカル法を用い、左右両まぶたに対して挙筋法による埋没法を実施しました。
術後1カ月の経過では、左右均等で自然な二重ラインが形成されています。
~ この症例の経過 ~
↓症例の経過は下にスクロールで閲覧できます。
■標準料金
二重まぶた埋没法(挙筋法) 片側 ¥66,000
二重まぶた埋没法(挙筋法) 両側 ¥110,000
■リスク・副作用・合併症
二重まぶた埋没法(挙筋法)
施術名
【挙筋法】二重まぶた埋没法+自院修正(埋没法を1回右側のみ)
Before
修正後1カ月(初回~1年6カ月後)
Before
修正後1カ月(初回~1年6カ月後)
~ この症例の経過 ~
↓症例の経過は下にスクロールで閲覧できます。
■標準料金
二重まぶた埋没法(挙筋法) 両側 ¥110,000
二重修正(留め直し) ¥5,500
■リスク・副作用・合併症
二重まぶた埋没法(挙筋法)
施術名
【挙筋法】二重まぶた埋没法+ボトックス注射+自院修正(埋没法を1回左側のみ)
Before
修正後1カ月(初回~4.5カ月後)
Before
修正後1カ月(初回~4.5カ月後)
~ この症例の経過 ~
↓症例の経過は下にスクロールで閲覧できます。
■標準料金
二重まぶた埋没法(挙筋法) 両側 ¥110,000
二重修正(留め直し) ¥5,500
ボトックス注射 ¥55,000
■リスク・副作用・合併症
二重まぶた埋没法(挙筋法)
ボトックス注射
施術名
【挙筋法】二重まぶた埋没法+他院修正(埋没法を1回)+自院修正(埋没法を1回)
Before
修正後約3週間(初回~5年4カ月後)
Before
修正後約3週間(初回~5年4カ月後)
~ この症例の経過 ~
↓症例の経過は下にスクロールで閲覧できます。
■標準料金
二重まぶた埋没法(挙筋法) 両側 ¥110,000
二重修正(留め直し) ¥5,500
他院修正料金 ¥11,000~220,000(難易度による)
他院相談料 紹介状あり¥3,300 紹介状なし¥5,500
■リスク・副作用・合併症
二重まぶた埋没法(挙筋法)
施術名
【挙筋法】二重まぶた埋没法+自院修正(埋没法を1回)
Before
1年9カ月後 (自院修正から7カ月後)
~ この症例の経過 ~
![]() |
![]() |
|
Before |
1年9カ月後 (自院修正から7カ月後) |
|
![]() |
![]() |
|
Before(閉瞼) |
1年9カ月後 (自院修正から7カ月後) |
症例解説
この症例は当院で一度、二重まぶた埋没法を行いましたが、左右差があったため留め直しを行いました。自院修正後7カ月ですが、綺麗な二重まぶたになりました。
■標準料金
二重まぶた埋没法(挙筋法) 両側 ¥110,000
二重修正(留め直し) ¥5,500
■リスク・副作用・合併症
二重まぶた埋没法(挙筋法)
施術名
二重まぶた埋没法+自院修正(埋没法を1回)
Before
修正後1カ月(初回~2年後)
Before
修正後1カ月(初回~2年後)
~ この症例の経過 ~
↓症例の経過は下にスクロールで閲覧できます。
■標準料金
二重まぶた埋没法(挙筋法) 両側 ¥110,000
二重修正(留め直し) ¥5,500
■リスク・副作用・合併症
二重まぶた埋没法(挙筋法)
施術名
【瞼板法】一重まぶたを二重まぶたに
Before
After (4.5カ月後)
~ この症例の経過 ~
![]() |
![]() |
|
Before |
4.5カ月後 |
|
![]() |
![]() |
|
Before(閉瞼) |
4.5カ月後(閉瞼) |
■標準料金
二重まぶた埋没法(瞼板法) 両側 ¥110,000
■リスク・副作用・合併症
二重まぶた埋没法(瞼板法)
施術名
【瞼板法】一重まぶたを二重まぶたに
Before
After (8.5カ月後)
~ この症例の経過 ~
![]() |
![]() |
|
Before |
8.5カ月後 |
|
![]() |
![]() |
|
Before (閉瞼) |
8.5カ月後 (閉瞼) |
■標準料金
二重まぶた埋没法(瞼板法) 両側 ¥110,000
■リスク・副作用・合併症
二重まぶた埋没法(瞼板法)
施術名
【瞼板法】左右差がある二重まぶたの改善
Before
After (6.5カ月後)
~ この症例の経過 ~
![]() |
![]() |
![]() |
Before(開瞼) |
1カ月後 |
6.5カ月後 |
![]() |
![]() |
![]() |
Before(閉瞼) |
1カ月後(閉瞼) |
6.5カ月後(閉瞼) |
■標準料金
二重まぶた埋没法(瞼板法) 両側 ¥110,000
■リスク・副作用・合併症
二重まぶた埋没法(瞼板法)
施術名
【瞼板法】二重まぶたラインの改善
Before
After (1.5カ月後)
~ この症例の経過 ~
![]() |
![]() |
|
Before |
1.5カ月後 |
|
![]() |
![]() |
|
Before(閉瞼) |
1.5カ月後(閉瞼) |
症例解説
5カ月ほど前に他院で目頭切開術を受けられた患者様です。この方は、目頭の皮膚が目にかぶさる「末広型」の形状で、目が離れているように見え、全体的に目元が強調されにくい状態でした。当院では「二重まぶた手術(瞼板法)」を行いました。
施術後1.5カ月の経過ですが、目頭部分から二重のラインが自然に立ち上がり、滑らかな曲線の二重が形成されています。一部に少し腫れが残っていますが、目元全体が明るく見え、落ち着いた印象になりました。
「瞼板法」は、まぶたの内側にある瞼板(まぶたを支える構造)に糸を固定する方法で、安定性が高く、自然なラインが得られるのが特徴です。一方、「挙筋法」はまぶたを開く筋肉(挙筋)に糸を固定する方法で、解剖学的に自然なまぶたの動きを再現する点が特徴です。この方法は目を開ける力が強調されるため、目を大きく見せたい方や、より華やかな印象を求める方に向いています。
今回の患者様の場合、自律神経に過敏な傾向があり、眼瞼痙攣のリスクを避ける必要がありました。そのため、まぶたへの負担が少なく、仕上がりが安定する「瞼板法」が適していると判断しました。ただし、他の患者様では「挙筋法」が適しているケースも多く、個々の解剖学的特徴や希望に応じて適切な方法を選ぶことが重要です。
■標準料金
二重まぶた埋没法(瞼板法) 両側 ¥110,000
■リスク・副作用・合併症
二重まぶた埋没法(瞼板法)
施術名
【瞼板法】左右差がある二重まぶたの改善
Before
After (1カ月後)
~ この症例の経過 ~
![]() |
![]() |
|
Before |
1カ月後 |
|
![]() |
![]() |
|
Before(閉瞼) |
1カ月後(閉瞼) |
■標準料金
二重まぶた埋没法(瞼板法) 両側 ¥110,000
■リスク・副作用・合併症
二重まぶた埋没法(瞼板法)
施術名
【瞼板法】一重まぶたを二重まぶたに
Before
After (1カ月後)
~ この症例の経過 ~
![]() |
![]() |
![]() |
Before |
施術直後 |
1カ月後 |
![]() |
![]() |
![]() |
Before(閉瞼) |
施術直後(閉瞼) |
1カ月後(閉瞼) |
■標準料金
二重まぶた埋没法(瞼板法) 両側 ¥110,000
■リスク・副作用・合併症
二重まぶた埋没法(瞼板法)
施術名
【瞼板法】一重まぶたを二重まぶたに
Before
After (1カ月後)
~ この症例の経過 ~
![]() |
![]() |
|
Before |
1カ月後 |
|
![]() |
![]() |
|
Before (閉瞼) |
1カ月後 (閉瞼) |
■標準料金
二重まぶた埋没法(瞼板法) 両側 ¥110,000
■リスク・副作用・合併症
二重まぶた埋没法(瞼板法)
施術名
【瞼板法】二重まぶた埋没法+ボトックス注射
Before
After (1カ月後)
~ この症例の経過 ~
![]() |
![]() |
|
Before |
1カ月後 |
|
![]() |
![]() |
|
Before(閉瞼) |
1カ月後(閉瞼) |
症例解説
この患者様は挙筋腱膜が少し緩んだ状態で、眉毛を上げて上まぶたを開く傾向がありました。そのため、瞼板法で二重を作ると同時に、おでこにボトックスを注射しました。1カ月後の経過ですが、自然な二重ラインができ、瞼も眉毛を上げずに開けるようになりました。
■標準料金
二重まぶた埋没法(瞼板法) 両側 ¥110,000
ボトックス注射 ¥55,000
■リスク・副作用・合併症
二重まぶた埋没法(瞼板法)
ボトックス注射
※症例写真は、参考画像であり効果や満足度には個人差がありますのでご了承ください。
※ヒルズ美容クリニックWEBサイト及び関連WEBサイトに掲載されている症例写真は、当院の患者様のご厚意により掲載許可を得ています。当サイトの写真・イラスト・文章等の無断転載・引用・使用を禁じます。
































































































































































































症例解説
一重まぶたに対して、挙筋法による二重まぶた埋没法を行いました。施術直後はやはりまぶたが腫れや赤みがあります。この症例は2週間で腫れや赤みが落ち着き、目立たなくなりました。さらに2年7カ月の経過では二重のラインも落ち着いています。