症例写真一覧
眼瞼下垂治療
施術名
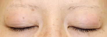
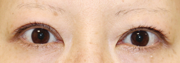
挙筋腱膜再固定術
Before
After (3カ月後)
■標準料金
眼瞼下垂(挙筋腱膜再固定術) 両側 ¥495,000
■リスク・副作用・合併症
眼瞼下垂(挙筋腱膜再固定術)
施術名
挙筋腱膜再固定術;腱膜性眼瞼下垂 + ボトックス注射

Before
After (1カ月後)
~ 症例の経過 ~
![]() |
![]() |
|
Before (開瞼) |
1カ月後 (開瞼) |
|
![]() |
|
Before(最大開瞼) |
1カ月後(最大開瞼) |
|
![]() |
|
Before(閉瞼) |
1カ月後(閉瞼) |
症例解説
加齢により腱膜性眼瞼下垂がみられるようになった症例です。特に左側に強く傾向が見られます。おでこを使い眉毛を上げて上まぶたを開いていました。 両瞼に挙筋腱膜再固定術を行い、おでこにボトックスを注射しました。1カ月が経過した様子ですが、二重のラインが左右対称に揃っています。また、眉毛をほとんど動かさずに、左右同じように上まぶたを開けることができるようになっています。
■標準料金
眼瞼下垂(挙筋腱膜再固定術) 両側 ¥495,000
ボトックス注射 ¥55,000
■リスク・副作用・合併症
眼瞼下垂(挙筋腱膜再固定術)
ボトックス注射
施術名
全切開による重瞼術(挙筋腱膜再固定術;黒目拡大)+ ボトックス注射
Before
After(7.5カ月後)
~ この症例の経過 ~
![]() |
![]() |
|
Befor | 7.5カ月後 |
![]() | ![]() | |
Before (閉瞼) | 7.5カ月後 (閉瞼) |
![]() |
![]() |
![]() |
Before |
1カ月後 |
7.5カ月後 |
![]() |
![]() |
![]() |
Before (閉瞼) |
1カ月後 (閉瞼) |
7.5カ月後 (閉瞼) |
術前解説
この患者様は、腱膜性眼瞼下垂があり、もともと一重まぶたで、横走靭帯の影響も重なり、上まぶたが開きにくい状態でした。
手術解説
全切開による二重術(挙筋腱膜再固定術;黒目拡大)を行いました。術中の観察では、挙筋腱膜が伸びており、横走靭帯も太く、開瞼しづらい状態でした。そこで、横走靭帯の外側を切離し、挙筋の動きを制限していた要因を解除。その後、挙筋腱膜を瞼板に再固定し、二重のラインを形成しました。さらに、おでこを使ってまぶたを開ける癖を改善するため、ボトックス注射を施しました。
術後解説
術後1カ月では、まだ腫れが残るものの、左右均等な二重が形成され、眉毛を動かさずに上まぶたを開けられるようになりました。7.5カ月後の経過では、二重のラインがきれいに整い、まぶたの傷跡もほとんど目立たなくなりました。はっきりとした二重が自然に馴染んだことで、より引き締まった印象になっています。さらに、ボトックスの効果は徐々に薄れてきていますが、自然にまぶたを開ける動作が定着しています。
■標準料金
二重まぶた(全切開)挙筋腱膜再固定術:黒目拡大 両側 ¥330,000
ボトックス注射 ¥55,000
■リスク・副作用・合併症
二重まぶた(全切開)挙筋腱膜再固定術:黒目拡大
ボトックス注射
施術名
挙筋腱膜再固定術;腱膜性眼瞼下垂(当院埋没法施術歴あり)

Before
After (1カ月後)
~ 症例の経過 ~
![]() |
![]() |
|
Before (開瞼) |
1カ月後 (開瞼) |
|
![]() |
|
Before(最大開瞼) |
1カ月後(最大開瞼) |
|
![]() |
|
Before(閉瞼) |
1カ月後(閉瞼) |
症例解説
6年5カ月前に当院で二重まぶた埋没法(挙筋法)を行いましたが、加齢により腱膜性眼瞼下垂がみられるようになった症例です。挙筋腱膜再固定術を行い、1カ月が経過した様子ですが、二重のラインが綺麗に整い、目も開くようになりました。
■標準料金
二重まぶた(全切開)挙筋腱膜再固定術:黒目拡大 両側 ¥330,000
二重まぶた埋没法(挙筋法) 両側 ¥110,000
■リスク・副作用・合併症
二重まぶた(全切開)挙筋腱膜再固定術:黒目拡大
二重まぶた埋没法(挙筋法)
施術名
挙筋腱膜再固定術

Before
After (1.5カ月後)
~ 症例の経過 ~
![]() |
![]() |
|
Before (開瞼) |
1.5カ月後 (開瞼) |
|
![]() |
|
Before(閉瞼) |
1.5カ月後(閉瞼) |
症例解説
瞼が二重のラインに被って目が開けにくくなった症例です。挙筋腱膜再固定術を行い術後1.5カ月が経過した状態ですが、二重のラインが綺麗に整い、目も開けやすくなりました。
■標準料金
眼瞼下垂(挙筋腱膜再固定術) 両側 ¥495,000
■リスク・副作用・合併症
眼瞼下垂(挙筋腱膜再固定術)
施術名
挙筋腱膜再固定術+皮膚切除
Before
After (1ヵ月後)
症例解説
皮膚にたるみと挙筋機能が低下しています。挙筋腱膜再固定術+皮膚切除を行いました。まぶたが開くようになりました。また瞼縁は瞳孔にかかっていません。
■標準料金
眼瞼下垂(挙筋腱膜再固定術) 両側 ¥495,000
■リスク・副作用・合併症
眼瞼下垂(挙筋腱膜再固定術)
施術名
挙筋腱膜再固定術(眼瞼下垂を伴うサンケンアイ症例)
Before
After (1カ月後)
~ 症例の経過 ~
![]() | ![]() |
デザイン(開瞼) | デザイン(閉瞼) |
![]() |
![]() |
|
Before (開瞼) |
1カ月後 (開瞼) |
|
![]() |
|
Before(最大開瞼) |
1カ月後(最大開瞼) |
![]() |
![]() |
|
Before(閉瞼) | 1カ月後(閉瞼) |
術前解説
眼瞼下垂を伴うサンケンアイの症例です。目の上の凹み(サンケンアイ)の症状により、年齢よりも老けて見られるということでした。所見として、目の上の凹み(サンケンアイ)、重瞼ラインが広い、また目を大きく開いて(最大開瞼)もらっても殆ど通常の状態と変わりません。これは眼瞼下垂の状態です。
手術解説
手術は局所麻酔下にて挙筋腱膜再固定術を行います。瞼縁から約6mmにデザインします。このようなサンケンアイの症例では皮膚を切除しません。目が開きにくい原因が皮膚のたるみではないためです。
経過解説
施術後1カ月では重瞼ラインが下がり、目の開きが良くなっています。また目の上の凹み(サンケンアイ)が改善しています。かなり若返った印象です。
■標準料金
目の上の凹み(挙筋腱膜再固定術) 両側 ¥495,000
■リスク・副作用・合併症
目の上の凹み(挙筋腱膜再固定術)
施術名
挙筋腱膜再固定術(左右差のある右眼サンケンアイの症例)
Before
After (1カ月後)
~ 症例の経過 ~
![]() |
![]() |
|
Before (開瞼) |
1カ月後 (開瞼) |
![]() |
![]() | |
Before(閉瞼) |
1カ月後 (閉瞼) |
![]() |
![]() |
![]() |
||
Before(右目開瞼) |
1週間後(右目開瞼) |
1カ月後(右目開瞼) |
症例解説
右目の挙筋機能が低下し、瞼縁が瞳孔にかかっています。また左右共に目の上の凹み(サンケンアイ;sunken eyes)があり、特に右目が顕著だったため、右目のみ挙筋腱膜再固定術を行いました。手術していない左目にあわせるようにほぼ左右対称とし、年齢相応の目に再建できました。
経過解説
手術後の経過を確認すると、術後1週間では内出血を認めますが、まぶたの開きは良くなり、瞼縁は瞳孔にかかっていません。目の上の凹みの改善もみられます。術後1カ月後では内出血や腫れもおさまり、自然な仕上がりになりました。
■標準料金
眼瞼下垂(挙筋腱膜再固定術) 両側 ¥495,000
※片側だけの場合は上記の価格(税込)の60%です。
■リスク・副作用・合併症
眼瞼下垂(挙筋腱膜再固定術)
※症例写真は、参考画像であり効果や満足度には個人差がありますのでご了承ください。
※ヒルズ美容クリニックWEBサイト及び関連WEBサイトに掲載されている症例写真は、当院の患者様のご厚意により掲載許可を得ています。当サイトの写真・イラスト・文章等の無断転載・引用・使用を禁じます。






















症例解説
目がほとんど開いていません。二重のラインは内側が幅広くなっていて、左右差も認めます。挙筋腱膜再固定術を行いました。まぶたが開くようになりました。瞼縁は瞳孔にかかっていません。また二重のラインがきれいに整っています。