症例写真一覧
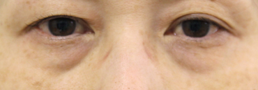
経結膜下脱脂法
施術名
経結膜下脱脂法+他院修正

Before
After(1.5カ月後)
~ この症例の経過 ~
![]() | ![]() | |
Before | 1.5カ月後(上向き) |
![]() | ![]() | |
Before | 1.5カ月後 (右斜め) |
|
![]() | ![]() | |
Before | 1.5カ月後(右斜め上向き) |
■標準料金
経結膜下脱脂法 両側 ¥275,000
他院修正料金 ¥11,000~220,000(難易度による)
他院相談料 紹介状あり¥3,300 紹介状なし¥5,500
■リスク・副作用・合併症
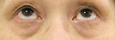
経結膜下脱脂法
施術名
経結膜下脱脂法

Before
After(9カ月後)
~ この症例の経過 ~
![]() | ![]() | |
Before | 9カ月後(上向き) |
![]() | ![]() | |
Before | 9カ月後 (右斜め) |
|
![]() | ![]() | |
Before | 9カ月後(右斜め上向き) |
症例解説
50代の患者様ですが、本来は下眼瞼除皺術の適応になります。経結膜下脱脂を行っても、皮膚が余ってしまい、シワができる可能性があるからです。しかし、患者様が皮膚表面の切開を希望されなかったので、今回は皮膚表面を切開せずに、まぶたの裏側から経結膜下脱脂法を行いました。意外にもたるみが目立たなくなり、すっきりした目元になりました。
*40代以降の患者様の場合、通常は、下眼瞼除皺術により下まぶたを皮膚表面から切開して、眼窩脂肪と余った皮膚を除去することをお勧めしています。今回の症例のように患者様が希望された場合は、経結膜下脱脂法ではシワが生じてしまう可能性を説明し、症状の改善には、下眼瞼除皺術を行うことになることを伝えています。
■標準料金
経結膜下脱脂法 両側 ¥275,000
■リスク・副作用・合併症
経結膜下脱脂法
施術名
経結膜下脱脂法
Before
After(1カ月後)
~ この症例の経過 ~
![]() |
![]() |
![]() |
Before |
Before |
Before |
![]() | ![]() | |
Before | 1カ月後 |
![]() | ![]() |
|
Before | 1カ月後 |
![]() | ![]() |
|
Before |
1カ月後 |
症例解説
眼窩脂肪を除去したことで膨らみはなくなり、クマやたるみが改善され目もとがスッキリしました。眼窩脂肪を除去してもシワは生じていません。斜めからみると目頭側の溝がなくなり、たるみやクマが目立たなくなりました。側面からみると張り出していた部分が改善され、頬へ連なる下眼瞼の形態が自然になりました。
■標準料金
経結膜下脱脂法 両側 ¥275,000
■リスク・副作用・合併症
経結膜下脱脂法
施術名
経結膜下脱脂法

Before
After(1カ月後)
~ この症例の経過 ~
![]() | ![]() | |
Before | 1カ月後 (上向き) |
![]() | ![]() | |
Before | 1カ月後(右斜め) |
|
![]() | ![]() | |
Before | 1カ月後(右斜め上向き) |
症例解説
下まぶたのたるみを除去したことで、たるみ、クマが解消されスッキリした目元になりました。
■標準料金
経結膜下脱脂法 両側 ¥275,000
■リスク・副作用・合併症
経結膜下脱脂法
※症例写真は、参考画像であり効果や満足度には個人差がありますのでご了承ください。
※ヒルズ美容クリニックWEBサイト及び関連WEBサイトに掲載されている症例写真は、当院の患者様のご厚意により掲載許可を得ています。当サイトの写真・イラスト・文章等の無断転載・引用・使用を禁じます。




























症例解説
他院で施術された後、当院で修正を希望された症例です。特に目を上げると下まぶたのたるみが残っているのが認められます。当院で経結膜下脱脂法を行い、下まぶたのたるみが無くなったことで目元がスッキリしました。