症例写真一覧
他院修正
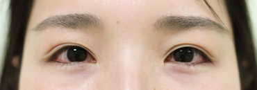
【目の他院修正】
施術名
二重まぶたの左右差の修正
Before (他院での施術後)
After (修正後)

術後解説
抜糸して二重まぶた埋没法(挙筋法)を行いました。左右差もほとんどなくなりました。もう少しラインを上げてもよいと思いますが、本人の希望に合わせて控え目にしました。
■標準料金
二重まぶた埋没法(挙筋法) 両側 ¥110,000
他院修正料金 ¥11,000~220,000(難易度による)
他院相談料 紹介状あり¥3,300 紹介状なし¥5,500
■リスク・副作用・合併症
二重まぶた埋没法(挙筋法)
【目の他院修正】
施術名
二重まぶたの左右差の修正
Before (他院での施術後)
After (1カ月後)

症例解説
他院で埋没法(術式は不明)を行ったあとに二重まぶたのラインの左右差が生じています。二重まぶた埋没法(挙筋法)により左右のラインを整えました。
■標準料金
二重まぶた埋没法(挙筋法) 両側 ¥110,000
他院修正料金 ¥11,000~220,000(難易度による)
他院相談料 紹介状あり¥3,300 紹介状なし¥5,500
■リスク・副作用・合併症
二重まぶた埋没法(挙筋法)
【目の他院修正】
施術名
他院埋没法後のまぶたの違和感を改善


術前解説
他院にて埋没法を行った後、「目の中がコロコロする」「睫毛が入ったような痛みもある」など、まぶたの違和感を感じて当院を受診されました。上まぶたを裏返すと、瞼板から糸が飛び出しています。これは瞼板法治療による症状だと考えられます。
術後解説
抜糸処置を行いました。このような症状は糸を瞼板にかけて固定する瞼板法で見かけます。挙筋法に比べ固定力は強いですが、糸が飛び出すことによる角膜損傷などのリスクがあります。当院では埋没法は、例外を除いて挙筋法を第一選択としています。
■標準料金
他院修正料金 ¥11,000~220,000(難易度による)
他院相談料 紹介状あり¥3,300 紹介状なし¥5,500
■リスク・副作用・合併症
二重まぶた埋没法(挙筋法)
施術名
【挙筋法】二重まぶた埋没法+他院修正
Before
After (4年9カ月後)
~ この症例の経過 ~
![]() |
![]() |
![]() |
施術直後 |
1年6.5カ月後 |
4年9カ月後 |
![]() |
![]() |
![]() |
施術直後(閉瞼) |
1年6.5カ月後(閉瞼) |
4年9カ月後(閉瞼) |
症例解説
この患者様は過去に他院で二重まぶた埋没法を受けられましたが、やり直しを希望し、当院を受診されました。アイプチをしていましたが、二重まぶた埋没法(挙筋法)により、綺麗な二重まぶたになりました。
■標準料金
二重まぶた埋没法(挙筋法) 両側 ¥110,000
他院修正料金 ¥11,000~220,000(難易度による)
他院相談料 紹介状あり¥3,300 紹介状なし¥5,500
■リスク・副作用・合併症
二重まぶた埋没法(挙筋法)
【目の他院修正】
施術名
【挙筋法】二重まぶた埋没法+他院修正
Before
4カ月後
Before(閉瞼)
4カ月後(閉瞼)
■標準料金
二重まぶた埋没法(挙筋法) 両側 ¥110,000
他院修正料金 ¥11,000~220,000(難易度による)
他院相談料 紹介状あり¥3,300 紹介状なし¥5,500
■リスク・副作用・合併症
二重まぶた埋没法(挙筋法)
【目の他院修正】
施術名
全切開による重瞼術(挙筋腱膜再固定術)+他院修正
Before
5カ月後
Before(閉瞼)
5カ月後 (閉瞼)
術後解説
他院で全切開を行いましたが、当院でやり直しを行った症例です。術後5カ月の経過ですが、二重のラインも改善され目も開きやすくなりました。
■標準料金
二重まぶた(全切開)挙筋腱膜再固定術:黒目拡大 両側 ¥330,000
他院修正料金 ¥11,000~220,000(難易度による)
他院相談料 紹介状あり¥3,300 紹介状なし¥5,500
■リスク・副作用・合併症
二重まぶた(全切開)挙筋腱膜再固定術:黒目拡大
施術名
全切開による重瞼術(挙筋腱膜再固定術)+ボトックス注射+他院修正(埋没法を2回、全切開法を1回、目頭切開すみ)
Before
1年3カ月後
Before(閉瞼)
1年3カ月後 (閉瞼)
術前解説
他院で二重埋没法を2回、全切開法を1回、目頭切開術を1回受けられた後、当院で全切開法のやり直しを行った症例です。この患者様は、左側の眼輪筋が薄いなど、まぶた周囲の構造に左右差がみられ、二重ラインの幅にも差が生じていました。また、眉を上げて目を開ける癖もありました。
手術解説
当院では、挙筋腱膜再固定術を行い、挙筋腱膜を瞼板および眼輪筋に再固定しました。同時に、眉を上げて目を開ける癖を抑える目的でボトックス注射も併用しました。
術後解説
術後1年3カ月の経過では、左右ともにくっきりとしたバランスの取れた二重ラインが形成されています。
■標準料金
二重まぶた(全切開)挙筋腱膜再固定術:黒目拡大 両側 ¥330,000
ボトックス注射 ¥55,000
他院修正料金 ¥11,000~220,000(難易度による)
他院相談料 紹介状あり¥3,300 紹介状なし¥5,500
■リスク・副作用・合併症
二重まぶた(全切開)挙筋腱膜再固定術:黒目拡大
ボトックス注射
【目の他院修正】
施術名
全切開による重瞼術+ROOF除去+眼窩脂肪除去+他院修正(埋没法を1回すみ)
Before
5年6カ月後
~ この症例の経過 ~
![]() |
![]() |
|
Before | 5年6カ月後 |
![]() | ![]() | |
Before (閉瞼) | 5年6カ月後(閉瞼) |
![]() |
![]() |
![]() |
Before |
10.5カ月後 |
5年6カ月後 |
![]() |
![]() |
![]() |
Before(閉瞼) |
10.5カ月後(閉瞼) |
5年6カ月後(閉瞼) |

術前解説
瞼が腫れぼったく重瞼ラインを押しつぶしているような印象です。重瞼ラインは右眼が平行、左眼が末広がりになっています。なお過去に他院で1回、埋没法による重瞼術を行ったが希望の幅にはならなかったとのことです。
手術解説
局所麻酔下にて全切開による重瞼術とROOF+眼窩脂肪除去を行いました。
両眼瞼ともに瞼縁から重瞼ラインは7mmで切開、幅3mmの皮膚を切除しました。眼輪筋は切除していません。ROOF(眼窩前脂肪)、眼窩脂肪を除去したあと、眼窩隔膜をhingeして睫毛側皮下(眼輪筋)に数カ所固定し、重瞼ラインの引き込みを作成しました。
術後解説
術後10カ月半の開瞼では、術前に右眼が平行、左眼が末広がりと異なっていた重瞼ラインが、両眼ともに平行になっています。重瞼ラインの幅に若干の左右差はあるものの、腫れぼったい印象も改善されスッキリしています。また瞼縁のアーチはとても綺麗です。閉瞼では傷はほとんど目立ちません。5年6カ月後の経過でも重瞼ラインはしっかり保たれており、自然な仕上がりが持続しています。
■標準料金
眼窩脂肪+ROOF除去術+全切開による重瞼術 両側 ¥495,000
他院修正料金 ¥11,000~220,000(難易度による)
他院相談料 紹介状あり¥3,300 紹介状なし¥5,500
■リスク・副作用・合併症
眼窩脂肪+ROOF除去術+全切開による重瞼術
【目の他院修正】
施術名
全切開による重瞼術+ROOF除去+他院修正(埋没法を2回施術すみ)
Before
1年1.5カ月後:再修正後5.5カ月
~ この症例の経過 ~
![]() |
![]() |
|
Before | 1年1.5カ月後:再修正後5.5カ月 |
![]() | ![]() | |
Before (閉瞼) | 1年1.5カ月後:再修正後5.5カ月(閉瞼) |
![]() |
![]() |
![]() |
Before |
8カ月後 |
1年1.5カ月後:再修正後5.5カ月 |
![]() |
![]() |
![]() |
Before(閉瞼) |
8カ月後(閉瞼) |
1年1.5カ月後:再修正後5.5カ月(閉瞼) |

症例解説
重瞼ラインの幅は狭く、瞼縁と眉毛との距離も狭い状態です。また眉毛外側の張り出しを認めます。なお過去に他院で2回埋没法による重瞼術を行ったが重瞼ラインが安定しなかったとのことです。
手術解説
局所麻酔下にて全切開による重瞼術とROOF除去を行いました。
両眼瞼ともに瞼縁から重瞼ラインは6mmで切開、幅2mmの皮膚を切除しました。眼輪筋は切除していません。ROOF(眼窩前脂肪)を除去したあと、挙筋腱膜を同定し瞼板に再固定しました。腱膜の断端を睫毛側皮下(眼輪筋)に数カ所固定し、重瞼ラインの引き込みを作成しました。
術後解説
術後経過は開瞼、閉瞼ともに良好でしたが、術後6カ月で左瞼縁のアーチが不整(三角目)にたっていたこと、また左右の重瞼ラインの幅が狭いことから術後8カ月で修正しました。修正は同じ切開線からアプローチし両側の外角を外したあと、挙筋腱膜を再固定し、その断端を睫毛側真皮に強固に固定しました。再修正から5.5カ月経過しましたが、開瞼では重瞼ラインは左右ともに安定し、両瞼縁のアーチは綺麗です。閉瞼では、傷はほとんど目立たなくなりました。
■標準料金
ROOF除去術+全切開による重瞼術 両側 ¥385,000
他院修正料金 ¥11,000~220,000(難易度による)
他院相談料 紹介状あり¥3,300 紹介状なし¥5,500
■リスク・副作用・合併症
ROOF除去術+全切開による重瞼術
【目の他院修正】
施術名
全切開による重瞼術(挙筋腱膜再固定術;黒目拡大)+他院修正(埋没法を1回施術すみ)
Before
After(5カ月後)
~ この症例の経過 ~
![]() |
![]() |
|
Befor | 5カ月後 |
![]() |
![]() | |
Before (閉瞼) | 5カ月後 (閉瞼) |
![]() |
![]() |
![]() |
Before |
2.5カ月後 |
5カ月後 |
![]() |
![]() |
![]() |
Before (閉瞼) |
2.5カ月後 (閉瞼) |
5カ月後 (閉瞼) |

術前解説
重瞼ラインに左右差があり、左右ともに重瞼ラインの下に別の重瞼ラインを認めます。また過去に行った埋没法後に開瞼しにくい状態となったとのこと(医原性眼瞼下垂が生じたと思われます)です。瞼裂高が左右ともに約8mm、MRD(隔膜反射)が1.5mmとやはり軽度下垂です。
手術解説
局所麻酔下にて全切開による重瞼術(挙筋腱膜再固定術;黒目拡大術)を行いました。
両眼瞼ともに瞼縁から重瞼ラインは約7mmで切開しました。皮膚、眼輪筋ともに切除していません。挙筋腱膜を同定し瞼板に再固定しました。腱膜の断端を睫毛側皮下(眼輪筋)に数カ所固定し、重瞼ラインの引き込みを作成しました。
術後解説
術後2.5カ月の開瞼では、左右ともに重瞼ラインは高く腫れていますが瞼縁のアーチは綺麗です。閉瞼では、傷は少し赤い状態です。
術後5カ月の開瞼では、若干の左右差はあるものの、重瞼ラインの高さが下がり術前に認めた別の重瞼線も消失しました。開瞼も十分であり下垂は改善され、瞼縁のアーチはとても綺麗です。閉瞼では傷も綺麗です。
■標準料金
二重まぶた(全切開)挙筋腱膜再固定術:黒目拡大 両側 ¥330,000
他院修正料金 ¥11,000~220,000(難易度による)
他院相談料 紹介状あり¥3,300 紹介状なし¥5,500
■リスク・副作用・合併症
二重まぶた(全切開)挙筋腱膜再固定術:黒目拡大
施術名
全切開による重瞼術(挙筋腱膜再固定術;黒目拡大)
+他院修正(重瞼ラインを下げる手術)
Before
8.5カ月後
Before(閉瞼)
8.5カ月後 (閉瞼)
症例解説
二重まぶた全切開を他院で行った症例ですが、当院で重瞼ラインの幅を下げる修正手術を行いました。
■標準料金
二重まぶた(全切開)挙筋腱膜再固定術:黒目拡大 両側 ¥330,000
他院修正料金 ¥11,000~220,000(難易度による)
他院相談料 紹介状あり¥3,300 紹介状なし¥5,500
■リスク・副作用・合併症
二重まぶた(全切開)挙筋腱膜再固定術:黒目拡大
施術名
他院修正+脂肪注入
![]() |
![]() |
|
Before |
After (3.5カ月後) |
~ この症例の経過 ~
![]() |
![]() |
|
Before |
3.5カ月後 |
|
![]() |
![]() |
|
Before |
3.5カ月後 |
|
![]() |
![]() |
|
Before |
3.5カ月後 |
術前解説
この患者様は、他院で鼻プロテーゼ挿入、小鼻縮小、耳介軟骨移植による鼻尖形成を受けた後、プロテーゼの抜去と肋軟骨による鼻中隔延長術も行われています。横から見ると鼻先が硬く尖って見え、不自然な印象があることを気にされていました。また、正面からの見た目では、少しアップノーズ気味になっていました。そこで今回は、鼻尖に脂肪を注入して、アップノーズの改善と鼻尖の形を柔らかく見せることをご提案しました。
手術解説
下腹部から採取した脂肪をペースト状に加工・精製し、マフトガン(MAFT-GUN)を用いて、鼻尖に移植された耳介軟骨を包むようなイメージで注入しました。これにより、鼻先の皮膚と軟骨の間に適度な厚みができ、尖りすぎた印象を和らげるとともに、圧迫によって生じる血流障害や皮膚の壊死リスクの軽減も期待できます。脂肪はご自身の組織のため、なじみがよく自然な質感に仕上がるのが特徴です。
術後解説
術後3.5カ月の時点では、鼻尖の引き締まった印象を保ちながらもアップノーズが改善され、先端の尖りも和らいで全体として自然な丸みを帯びたバランスの良い鼻の形になりました。横顔での印象もやわらかくなり、より自然な仕上がりとなっています。
■標準料金
脂肪注入 ¥330,000
※部位により料金が異なります。詳細は『脂肪注入術』詳細をご覧ください。
他院修正料金 ¥11,000~220,000(難易度による)
他院相談料 紹介状あり¥3,300 紹介状なし¥5,500
■リスク・副作用・合併症
脂肪注入術
【鼻の他院修正】
施術名
他院修正+鼻尖再建
![]() |
![]() |
|
Before |
After(6.5カ月後) |
~ この症例の経過 ~
![]() |
![]() |
オープン法で切開し、瘢痕拘縮を解除 |
瘢痕を一部切除 |
![]() |
![]() |
|
Before |
6.5カ月後 |
|
![]() |
![]() |
|
Before |
6.5カ月後 |
|
![]() |
![]() |
|
Before |
6.5カ月後 |
|
![]() |
![]() |
|
Before |
6.5カ月後 |
■標準料金
他院修正料金 ¥11,000~220,000(難易度による)+各施術料金
他院相談料 紹介状あり¥3,300 紹介状なし¥5,500
■リスク・副作用・合併症
鼻尖形成(オープン法)
施術名
他院修正+鼻尖再建(鼻尖修復、耳介軟骨移植)
![]() |
![]() |
|
Before |
After (1カ月後) |
~ この症例の経過 ~
![]() |
![]() |
|
Before |
1カ月後 |
|
![]() |
![]() |
|
Before |
1カ月後 |
|
![]() |
![]() |
|
Before |
1カ月後 |

術前解説
この患者様は、他院で鼻尖形成術(クローズ法)を受けられた後、鼻先の右側に凹みが生じました。その後、耳介軟骨移植術(クローズ法)を受けましたが、十分な改善が見られなかったため、当院を受診されました。
手術解説
今回、オープン法による鼻尖再建術と耳介軟骨移植術を行いました。以前の手術で耳介軟骨が偏った影響で鼻翼軟骨が変形していたため、少し大きめの耳介軟骨を使い、左右のバランスを整えるように鼻先全体を覆いました。この方法で自然な丸みのある鼻尖を形成しました。
オープン法では術野を広く確保できるため、軟骨の位置や状態を正確に把握でき、左右のバランスを丁寧に調整することが可能です。
術後解説
術後1カ月の状態では、腫れや赤みが少し残っていますが、全体的に自然な仕上がりになりました。切開部分の傷も目立たなくなる予定です。
■標準料金
鼻尖形成 鼻尖縮小法+耳介軟骨移植術(オープン法)¥660,000
他院修正料金 ¥11,000~220,000(難易度による)
他院相談料 紹介状あり¥3,300 紹介状なし¥5,500
■リスク・副作用・合併症
鼻尖形成 鼻尖縮小法+耳介軟骨移植術(オープン法)
施術名
他院で鼻に異物(オステオポール)を挿入された症例の異物除去
+筋膜移植+鼻尖形成術;耳介軟骨移植+鼻尖縮小術
![]() |
![]() |
|
Before |
After(1カ月後) |
~ この症例の経過 ~
![]() |
![]() |
![]() |
取り出したステオポール |
耳介軟骨移植 |
採取する浅側頭筋膜の位置 |
![]() |
![]() |
|
Before |
1カ月後 |
|
![]() |
![]() |
|
Before |
1カ月後 |
|
![]() |
![]() |
|
Before |
1カ月後 |
症例解説
約8年前に他院でオステオポールを挿入された症例です。側面からみるとよくわかりますが、ハンプと鼻尖の上に凹みが認められ、鼻尖だけ丸みが強調されています。そのため今回の施術では、鼻尖のオステオポールを除去し、変形のあった鼻翼軟骨を修正し、耳介軟骨を移植しました。また、オステオポールは皮膚側にもダメージを与えるため、オステオポール除去後の皮膚と軟骨の間にクッションを入れる必要があります。そこで浅側頭筋膜を採取し、移植した耳介軟骨と皮膚の間に包むように移植しました。1カ月後の経過では、鼻尖部に少し赤みはありますが、凹凸感はなくなりスッキリしました。
■標準料金
鼻尖形成 鼻尖縮小法+耳介軟骨移植術(オープン法)¥660,000
PCL素材除去:オステオポール ¥220,000
浅側頭筋膜移植(TPF) ¥165,000
他院修正料金 ¥11,000~220,000(難易度による)
他院相談料 紹介状あり¥3,300 紹介状なし¥5,500
■リスク・副作用・合併症
鼻尖形成 鼻尖縮小法+耳介軟骨移植術(オープン法)
注入物・異物除去
傷跡修正+浅側頭筋膜移植(TPF)
【鼻の他院修正】
施術名
他院修正(鼻中隔延長修正 耳介軟骨移植術+プロテーゼ抜去)
+隆鼻術(I型プロテーゼ)+鼻尖再建
![]() |
![]() |
|
Before |
After (1年8.5カ月後) |
~ この症例の経過 ~
![]() |
![]() |
|
Before |
1年8.5カ月後 |
|
![]() |
![]() |
|
Before |
1年8.5カ月後 |
|
![]() |
![]() |
|
Before |
1年8.5カ月後 |
|
![]() |
![]() |
|
Before |
1年8.5カ月後 |

症例解説
3年前に、韓国の病院でシリコンプロテーゼによる隆鼻術と肋軟骨を利用した鼻中隔延長術をされていた症例です。患者様からは「とにかく自分の顔にあっていない、横から見たときに、ピノキオ鼻のようになっているのがいや、普通で自然に見える鼻に戻したい」との要望でした。
手術解説
元の5mmのプロテーゼを2mmの高さに入れ替えました。肋軟骨による鼻中隔延長が行われていたため、鼻尖から鼻柱にかけて突出していた部分を除去して、鼻尖形成と耳介軟骨移植で再建しました。
術後解説
遠方にお住いの患者様のため、術後に心配なことがあった時には、メールで様子の写真を送っていただき、順調なことを確認していましたが、1年8カ月半後の経過診察では、ご本人の希望通り、整形感の無い、自然で可愛らしい鼻になっています。
■標準料金
鼻中隔延長修正 耳介軟骨移植 ¥990,000
鼻尖形成 鼻尖縮小法(オープン法) ¥330,000
プロテーゼ抜去(オープン法) ¥198,000
隆鼻 プロテーゼ挿入 ¥330,000
他院修正料金 ¥11,000~220,000(難易度による)
他院相談料 紹介状あり¥3,300 紹介状なし¥5,500
■リスク・副作用・合併症
鼻中隔延長修正 耳介軟骨移植
鼻尖形成 鼻尖縮小法(オープン法)
隆鼻 プロテーゼ挿入
プロテーゼ抜去
【鼻の他院修正】
施術名
他院で鼻に挿入されたプロテーゼ抜去と耳介軟骨除去+鼻尖再建(鼻尖修復)
![]() |
![]() |
|
Before |
After(1年11カ月後) |
~ この症例の経過 ~
![]() |
![]() |
オープン法で切開しプロテーゼ抜去と耳介軟骨を全て除去 |
取り出したプロテーゼと耳介軟骨 |
![]() |
![]() |
|
Before |
1年11カ月後 |
|
![]() |
![]() |
|
Before |
1年11カ月後 |
|
![]() |
![]() |
|
Before |
1年11カ月後 |
|
![]() |
![]() |
|
Before |
1年11カ月後 |
■標準料金
プロテーゼ抜去(オープン法) ¥198,000
他院修正料金 ¥11,000~220,000(難易度による)+各施術料金
他院相談料 紹介状あり¥3,300 紹介状なし¥5,500
■リスク・副作用・合併症
鼻尖形成(オープン法)
プロテーゼ抜去
【鼻の他院修正】
施術名
他院で挿入されたプロテーゼ抜去と異物(オステオポール)除去+鼻尖形成;耳介軟骨移植+鼻尖縮小術
![]() |
![]() |
|
Before |
After(1年7カ月後) |
~ この症例の経過 ~
![]() |
![]() |
![]() |
オステオポールとプロテーゼ |
取り出したオステオポールとプロテーゼ |
耳介軟骨移植 |
![]() |
![]() |
![]() |
||
Before |
1カ月後 |
1年7カ月後 |
||
![]() |
![]() |
![]() |
||
Before |
1カ月後 |
1年7カ月後 |
||
![]() |
![]() |
![]() |
||
Before |
1カ月後 |
1年7カ月後 |
||
![]() |
![]() |
![]() |
||
Before |
1カ月後 |
1年7カ月後 |
■標準料金
鼻尖形成 鼻尖縮小法+耳介軟骨移植術(オープン法)¥660,000
プロテーゼ抜去(オープン法) ¥198,000
PCL素材除去:オステオポール ¥220,000
他院修正料金 ¥11,000~220,000(難易度による)
他院相談料 紹介状あり¥3,300 紹介状なし¥5,500
■リスク・副作用・合併症
鼻尖形成 鼻尖縮小法+耳介軟骨移植術(オープン法)
プロテーゼ抜去
注入物・異物除去
【鼻の他院修正・異物除去】
施術名
ゴアテックス除去、鼻尖縮小、鼻中隔再建
(韓国でゴアテックス複数枚を挿入、また鼻尖部への不必要な軟骨移植により団子鼻がひどくなった)
![]() |
![]() |
![]() |
![]() |
鼻中隔軟骨が団子鼻を形成 |
ゴアテックス |
取り出した鼻中隔軟骨 |
耳介軟骨と鼻中隔軟骨で再建 |

術前解説
韓国の美容外科で手術【ゴアテックスによる隆鼻、鼻尖形成、耳介軟骨移植】をされていた症例です。
症状は、①眉毛のあたりから高くなる鼻、②鼻尖部は団子鼻が強調、③非常に硬い(ガチガチ)。
また「担当医から“ゴアテックスは2枚挿入した”と言われた」、「鼻尖も細くなるはずが余計に団子鼻が強調されガチガチになった」などの訴えとともに精神的にもかなり落ち込まれていました。カウンセリングを複数回にわたって行い、再手術の術式、リスクなどしっかり説明し手術を行いました。
術中解説
手術は局所麻酔で行いました。まず鼻尖部をオープン法より展開すると、耳介軟骨が鼻翼軟骨一面を覆うような状態でドーム状に移植されていました。これでは鼻尖部は太くなります。
移植された軟骨を除去(再利用のため確保)したところ、鼻翼軟骨は瘢痕化が強く変形していました。瘢痕を切除し本来の鼻翼軟骨を露出し、次にゴアテックスの除去に取りかかりましたが、 2枚のはずが結局4枚のゴアテックスが移植されていました。その影響か本来の鼻根部(Bottomの位置)が頭側方向にずれ、両眉毛間にありました(眉毛の間から鼻がはじまっているような状態)。術前に説明された枚数と、手術によって除去した枚数が異なっているという、非常にいい加減な手術をされていたわけです。
術後解説
全てゴアテックス除去も検討しましたが、鼻根部が低くなりすぎるために、1枚だけトリミングし再挿入し、鼻根部(Bottomの位置)を両眉間から目頭間へ下方移動しました。鼻翼軟骨のスーチャーリング(鼻尖縮小)と耳介軟骨で鼻中隔を再建し修正しました。半年間経過を確認し再手術が必要か判断します。
■標準料金
鼻尖形成 鼻尖縮小法+耳介軟骨移植術(オープン法) ¥660,000
他院修正料金 ¥11,000~220,000(難易度による)
他院相談料 紹介状あり¥3,300 紹介状なし¥5,500
■リスク・副作用・合併症
鼻尖形成 鼻尖縮小法+耳介軟骨移植術(オープン法)
異物・注入物除去
【鼻の他院修正・異物除去】
施術名
オステオポール除去、鼻尖縮小、耳介軟骨移植による鼻中隔再建
(オステオポール挿入により鼻尖が下がり魔女鼻になった)
![]() |
![]() |
![]() |
オステオポール |
鼻翼軟骨がクレーター状に変形・損傷 |
スチャーリングと耳介軟骨で鼻中隔を再建 |
~ この症例の経過 ~


術前解説
日本の美容外科で手術【オステオポール挿入による鼻尖形成】をされていました。
症状は①鼻先が下方にむき(魔女鼻)、②鼻孔の変形による左右差。 また「担当医からオステオポールは2個挿入したと聞いた」、「鼻尖は高くなるはずが下に垂れ下がり、鼻の穴が変形し左右差もひどい」、との訴えがありました。
カウンセリングを行い、術式、リスクなどしっかり説明し、まずは異物であるオステオポールを除去すること、同時に鼻中隔を再建しできるだけ元の状態に戻すことを提案し、内部の状態によっては、手術が2回になるかもしれないことを確認し手術を行いました。
術中解説
手術は局所麻酔で行いました。まず鼻尖部をオープン法より展開すると、丸く非常に硬い物質を1個確認できました。これがオステオポールです。2個挿入されていたということでしたが、1個しか確認できませんでした。オステオポールは、下方向に移植されていました。これでは鼻尖は下を向きます(魔女鼻の形成)。
そこで、まず移植されたオステオポールを除去したところ、鼻翼軟骨は陥没するようにクレーター状に陥没変形していました。鼻翼軟骨の変形をスーチャーリングによって再建(同時に鼻尖部を縮小)し、更に鼻中隔軟骨に2枚の耳介軟骨を挟むように補強し、end-to-endで延長し再建しました。
術後解説
この症例も術前に説明された個数と、実際に手術によって除去した個数が異なっていました。非常にいい加減な手術をされていたと思います。またオステオポールはいずれ吸収されるとはいえ、少し硬すぎる印象があります。もともとの皮膚が厚ければ、その硬さのために本症例のように軟骨にダメージを与えたり、皮膚が薄ければ、その硬さのために皮膚にダメージを与え、結果的に長期的な内側からの圧迫により飛び出してくる可能性もあります。あるいは鼻の中の粘膜側から飛び出してくる可能性もあります。鼻の手術をたくさん行っていれば、中の状態、つまり軟骨がいかにデリケートな組織であることは認識しているはずで、いくら自家組織を使用しなくてよいとはいえ、やはり異物であり、このようなものを鼻尖を高くする目的で使用することに抵抗を感じると思います。私は懐疑的であり全くすすめません。
鼻の手術はデリケートに行うべきであり、長期的にfollowしていくことが大切です。手術したら終わり(検診しない)、やってみたい、楽したい、などは絶対駄目だと思います。鼻は手術を繰り返せば、瘢痕化で硬くなり柔軟性は失われます。また感染のリスクも上がります。主治医とプランニングをしっかりたて、無理な手術は避け、できるだけ異物は入れないようにしてください。
■標準料金
鼻尖形成 鼻尖縮小法+耳介軟骨移植術(オープン法)¥660,000
PCL素材除去:オステオポール ¥220,000
他院修正料金 ¥11,000~220,000(難易度による)
他院相談料 紹介状あり¥3,300 紹介状なし¥5,500
■リスク・副作用・合併症
鼻尖形成 鼻尖縮小法+耳介軟骨移植術(オープン法)
注入物・異物除去
【鼻の他院修正・異物除去】
施術名
他院隆鼻術で挿入されたPCL糸の抜去
![]() |
![]() |
![]() |
![]() |

手術解説
他院で隆鼻術を受け、『PCL(ポリカプロラクトン)』と呼ばれる吸収性の素材(PCL糸)を挿入された症例です。当院での異物除去を希望され、5本のPCL糸を抜去しました。オステオポール、PCL糸、PCLプレートなど鼻用PCLは、プロテーゼと比べるとまだまだ臨床使用例が少ない治療です。PCL素材のものが普及するのであれば、皮膚の厚さなどその適応を見極める必要があります。PCL素材の隆鼻術を受ける場合は、そのリスクをよく知り、担当医に確認を取るなどして安易に行うことのないようにしましょう。
■標準料金
PCL素材除去:糸 ¥198,000
他院修正料金 ¥11,000~220,000(難易度による)
他院相談料 紹介状あり¥3,300 紹介状なし¥5,500
■リスク・副作用・合併症
注入物・異物除去
【鼻の他院修正・異物除去】
施術名
他院で鼻に異物(オステオポール)を挿入された症例の異物除去+鼻尖再建(鼻尖修復、耳介軟骨移植)
![]() |
![]() |
|
Before |
After(7カ月半後) |
~ この症例の経過 ~
![]() |
![]() |
![]() |
オステオポール |
取り出したオステオポール |
耳介軟骨移植 |
![]() |
![]() |
|
Before |
7.5カ月後 |
|
![]() |
![]() |
|
Before |
7.5カ月後 |
|
![]() |
![]() |
|
Before |
7.5カ月後 |
|
![]() |
![]() |
|
Before |
7.5カ月後 |

術前解説
約1年前に他院で鼻尖形成、球体状のオステオポールを挿入された症例です。皮膚がやや厚く、かためです。正面からみると団子鼻を認めます。また若干鼻尖部が左に変位しています。さらに左右の鼻孔が外側にむかって尖っています。斜位や側面からみると比較的綺麗です。しかし、下からみると鼻尖が左に変位しと両鼻翼のバランスが悪く、団子鼻にみえます。オステオポールが左に変位していることが予想されます。本人の希望は横からみて不自然な尖りより先端に丸みを出したいということでした。
手術解説
手術は局所麻酔下にオープン法で行いました。まずオステオポールを同定しました。オステオポールは予想通り左に変位し(術中写真参照)、左の鼻翼軟骨も変形していました。周囲組織は瘢痕化していました。オステオポールを除去し、左右の鼻翼軟骨をそれぞれスーチャーリングし折れ目をかえ、同時に左鼻翼軟骨の修正も行いました。最後に補強のため耳介軟骨を採取し2枚に分け、鼻中隔軟骨を挟むように固定し鼻翼軟骨を補強しました。
術後解説
術後7カ月半の状態ですが、正面からみると団子鼻の改善、左の変位が矯正されました。また鼻孔の尖りが改善され丸みがでました。斜位、側面からみると本人の術前の希望どおり、鼻尖の丸みがでています。下からみると鼻尖と両鼻翼のバランスがとれ団子鼻が改善しました。
■標準料金
鼻尖形成 鼻尖縮小法+耳介軟骨移植術(オープン法)¥660,000
PCL素材除去:オステオポール ¥220,000
他院修正料金 ¥11,000~220,000(難易度による)
他院相談料 紹介状あり¥3,300 紹介状なし¥5,500
■リスク・副作用・合併症
鼻尖形成 鼻尖縮小法+耳介軟骨移植術(オープン法)
注入物・異物除去
【鼻の他院修正・異物除去】
施術名
他院で鼻に異物(オステオポール)を挿入された症例の異物除去+鼻尖形成術;耳介軟骨移植+鼻尖縮小術
![]() |
![]() |
|
Before |
After(3年1カ月後) |
~ この症例の経過 ~
![]() |
![]() |
![]() |
オステオポール |
取り出したオステオポール |
耳介軟骨移植 |
![]() |
![]() |
![]() |
Before |
2年後 |
3年1カ月後 |
![]() |
![]() |
![]() |
Before |
2年後 |
3年1カ月後 |
![]() |
![]() |
![]() |
Before |
2年後 |
3年1カ月後 |
■標準料金
鼻尖形成 鼻尖縮小法+耳介軟骨移植術(オープン法)¥660,000
PCL素材除去:オステオポール ¥220,000
他院修正料金 ¥11,000~220,000(難易度による)
他院相談料 紹介状あり¥3,300 紹介状なし¥5,500
■リスク・副作用・合併症
鼻尖形成 鼻尖縮小法+耳介軟骨移植術(オープン法)
注入物・異物除去
【鼻の他院修正・異物除去】
施術名
他院で鼻に異物(オステオポール)を挿入された症例の異物除去+鼻尖形成術;耳介軟骨移植+鼻尖縮小術
![]() |
![]() |
|
Before |
After(2カ月後) |
~ この症例の経過 ~
![]() |
![]() |
![]() |
オステオポール |
取り出したオステオポール |
耳介軟骨移植 |
![]() |
![]() |
|
Before |
2カ月後 |
|
![]() |
![]() |
|
Before |
2カ月後 |
|
![]() |
![]() |
|
Before |
2カ月後 |
■標準料金
鼻尖形成 鼻尖縮小法+耳介軟骨移植術(オープン法)¥660,000
PCL素材除去:オステオポール ¥220,000
他院修正料金 ¥11,000~220,000(難易度による)
他院相談料 紹介状あり¥3,300 紹介状なし¥5,500
■リスク・副作用・合併症
鼻尖形成 鼻尖縮小法+耳介軟骨移植術(オープン法)
注入物・異物除去
【鼻の他院修正・異物除去】
施術名
他院で鼻に異物(PCL糸)を挿入された症例の異物除去+ 鼻尖形成術;耳介軟骨移植術+鼻尖縮小術+隆鼻術(I型プロテーゼ)
![]() |
![]() |
|
Before |
After(6カ月後) |
~ この症例の経過 ~
![]() |
![]() |
![]() |
I型プロテーゼ |
耳介軟骨移植 |
取り出したPCL糸 |
![]() |
![]() |
|
Before |
6カ月後 |
|
![]() |
![]() |
|
Before |
1.5カ月後 |
|
![]() |
![]() |
|
Before |
1.5カ月後 |
|
![]() |
![]() |
|
Before |
6カ月後 |
■標準料金
鼻尖形成 鼻尖縮小法+耳介軟骨移植術(オープン法)¥660,000
隆鼻 プロテーゼ挿入 ¥330,000
PCL素材除去:糸 ¥198,000
他院修正料金 ¥11,000~220,000(難易度による)
他院相談料 紹介状あり¥3,300 紹介状なし¥5,500
■リスク・副作用・合併症
鼻尖形成 鼻尖縮小法+耳介軟骨移植術(オープン法)
隆鼻 プロテーゼ挿入
注入物・異物除去
【鼻の他院修正】
施術名
他院でプロテーゼ挿入後に鼻筋が曲がった症例の修正
![]() | ![]() | |
Before | After(3週間後) |
~ この症例の経過 ~
![]() |
![]() |
![]() |
Before |
Before |
Before |
![]() |
![]() |
|
黄色く変色したプロテーゼを取り出し、新しいプロテーゼを再挿入。 |
||
![]() |
![]() |
|
Before |
修正後3週間(正面) |
![]() |
![]() |
|
Before |
修正後3週間(斜め) |
![]() |
![]() |
|
Before |
修正後3週間(鼻をつまんだ状態) |

術前解説
鼻筋が曲がっています。斜めからみるとプロテーゼが挿入されていることがわかります。また鼻の先端を摘み動かすと、プロテーゼが左右に移動します。動く原因は、プロテーゼが鼻骨骨膜上に誤って挿入されているためです。また骨膜上に挿入されていることで、プロテーゼの形態が外側からハッキリとわかります。
術中解説
挿入されていたプロテーゼは、被膜が形成されているために、被膜を切開し取り出しました。少し劣化(黄色く変色)しています。近年はI型プロテーゼが主流ですが、以前はL型が主流でした。入れ替えは、頭側は鼻骨部分のカプセルを切開し骨膜下に入れ直し固定します。鼻尖部は被膜が形成されているので、I型に加工せずにL型プロテーゼを再挿入しました。
術後解説
修正後3週間の経過です。正面から見ると鼻筋の曲がりが修正されています。斜めから見ても術前はプロテーゼの形態があらわれ不自然さが目立っていましたが、自然な形態に修正できました。鼻を摘まんで左右に動かしても骨膜下に入れ替えたことで、しっかり固定されているため動きません。
■標準料金
隆鼻 プロテーゼ挿入 ¥330,000
プロテーゼ抜去(オープン法) ¥198,000
他院修正料金 ¥11,000~220,000(難易度による)
他院相談料 紹介状あり¥3,300 紹介状なし¥5,500
■リスク・副作用・合併症
隆鼻 プロテーゼ挿入
プロテーゼ抜去
注入物・異物除去
【鼻の他院修正】
施術名
他院で小鼻縮小術を行った後の傷跡修正(左鼻翼基部瘢痕拘縮)
![]() |
![]() | |
Before(口を「うー」と動かした状態) |
修正後3カ月 |
~ この症例の経過 ~
![]() |
Before (他院での施術後) |
![]() | ![]() | |
Before | Before |
![]() |
![]() |
![]() |
|
Before |
修正後3カ月 |
|
![]() |
![]() |
|
Before |
修正後3カ月 |

術前解説
口を「ウー」と動かした時に、傷の拘縮(引きつれ)がよくわかります。実は他院で縮小手術を受けた後に、同じ病院で引きつれています。この患者様は他院で小鼻縮小術を受けたその後、特に左の小鼻の付け根の傷跡とそれによる引きつれが気になり、同じ病院で修正を行ったということでした。拘縮の解除が不十分であること、術後テープ固定などの運動刺激の予防が不十分であったことが考えられます。
鼻翼(小鼻)縮小後の傷は意外に目立ちます。口の周囲はよく動くために、その繰り返される運動刺激によって傷は肥厚、陥凹、拘縮(ひきつれ)を起こし目立ちます。この症例も特に左鼻翼(小鼻)の付け根の傷が目立ちます。また切開線を鼻翼(小鼻)の溝に沿って切開しているので余計に傷が目立っています。
術中解説
手術はジグザグに切開し、引きつれを解除し、更にA点をA’点に、B点をB’点(写真参照)に移動することで、小鼻が外側に膨らむことを予防しました。また術後両ほうれい線をまたぐようにテープ固定を数カ月行い、運動刺激を予防しました。
術後解説
修正していない鼻孔内の傷跡は残っていますが、外側の傷跡は綺麗に修正できました。また「ウー」と口を動かしていた時に生じていた拘縮(引きつれ)は改善されています。
■標準料金
傷跡修正:顔 1cm×¥88,000
他院修正料金 ¥11,000~220,000(難易度による)
他院相談料 紹介状あり¥3,300 紹介状なし¥5,500
■リスク・副作用・合併症
縫合による傷跡修正
【鼻の他院修正】
施術名
他院で鼻の施術を行い、変形治癒した症例を手術を行わずにレティナ装着のみで修正(瘢痕の可塑性を利用したリモデリング治療)
![]() |
![]() |
|
Before |
After(3.5カ月後) |
~ この症例の経過 ~
![]() |
![]() |
![]() |
Before |
レティナ装着の状態(2.5カ月経過時) |
レティナを外した状態(2.5カ月経過時) |
![]() |
![]() |
|
Before |
After(3.5カ月後) |
■標準料金
レティナ固定 ¥8,800
他院相談料 紹介状あり¥3,300 紹介状なし¥5,500
■リスク・副作用・合併症
【鼻の他院修正】
施術名
他院で人中短縮術を行った後の傷跡修正
![]() |
![]() |
|
before【他院の縫合】 |
After【当院の再縫合後】 |
症例解説
他院で人中短縮術*を受けた後、鼻の下に拘縮(引きつれ)を伴う縫合跡(ギザギザした傷跡)が残ってしまった症例です。前回の施術から約4年が経過しており、すでに白く硬い成熟瘢痕(傷跡)となっていました。この段階になると、自然な経過で傷がさらに目立たなくなることは期待できないため、瘢痕拘縮形成術での修正を行いました。
手術解説
今回は、拘縮(引きつれ)を取り除くために縫合跡(ギザギザした傷跡)を切除しました。再拘縮が起きないように工夫し、縫合は緻密に行いました。
術後解説
術後は、口唇の運動刺激を抑えるために、術直後から約6ヶ月のテープ固定**を行いました。6.5カ月後の経過では、拘縮を伴い白く目立っていた縫合跡が目立たなくなりました。人中のバランスも整い、自然な仕上がりとなっています。
*人中短縮術とは、鼻の下の皮膚を数ミリ切除して縫合することで、鼻と上唇の距離(人中)を短くする施術です。人中は表情と連動してよく動く部位のため、術後の縫合や傷跡の処理によっては、傷跡が広がり目立ちやすくなります。また、今回の症例では“人中稜や人中禍”という人中の立体的な構造の変形は認められませんでしたが、短縮量を多くすればするほど人中の構造は破壊されます。
**瘢痕が成熟(安定した状態になる)するまでの期間は約6ヶ月です。瘢痕は運動刺激に晒されると、瘢痕自体の可塑性(柔らかく形が変わりやすい状態)により、6ヶ月かけて幅が広がる、拘縮、肥厚、陥凹などいかようにも変化します。テープ固定はその瘢痕の可塑性を予防するための処置です。
~ 症例の経過 ~
![]() |
![]() |
切除部分のデザイン |
切除した瘢痕 |
![]() |
![]() |
|
Before |
6.5カ月後 |
![]() |
![]() |
|
Before |
6.5カ月後 |
![]() |
![]() |
|
Before |
6.5カ月後 |
■標準料金
人中短縮術 ¥385,000
他院修正料金 ¥11,000~220,000(難易度による)
他院相談料 紹介状あり¥3,300 紹介状なし¥5,500
■リスク・副作用・合併症
人中短縮術(修正)
施術名
他院修正+脂肪注入+ボトックス注射
![]() |
![]() |
|
![]() |
![]() |
|
Before |
After (1.5カ月後) |
症例解説
この患者様は、他院で両口元(口角)部のたるみ(口ポニョ)に対し、口角スレッドリフトと脂肪吸引を受けられていました。その後、左口元(口角)で糸リフトによる瘢痕と皮膚が癒着し、笑った時に引きつれが生じていました。これは糸の挿入部位が浅過ぎるか引き上げ過ぎが原因と思われます。当院では、この癒着を丁寧に剥離したうえで、生じたデッドスペースに脂肪注入を行い、周囲の表情筋に対してのボトックス注射を組み合わせて治療を行いました。
施術解説
まず、糸によって生じた瘢痕と皮膚の間に18Gの針を挿入し、丁寧に癒着を剥がします。その後、剥がした部分に脂肪を注入し、皮膚と糸による瘢痕が癒着しないようにします。注入した脂肪は時間とともに一部が吸収されるため、それを見越してやや多めに注入しています。
さらに、注入した脂肪が頬の脂肪として安定(生着)するまでの間、口元の動きを抑えるためにボトックス注射も併用しています。
術後解説
1.5カ月後の経過では、笑った時の左口元の引きつれが改善して、左右差がなくなり自然な口元のラインになっています。またボトックスの効果により、術前より口周りの過度な動きも抑えられています。
■標準料金
他院修正料金 ¥275,000(スレッドリフト、脂肪吸引後の修正2カ所分)
他院相談料 紹介状あり¥3,300 紹介状なし¥5,500
脂肪注入 ¥330,000
※部位により料金が異なります。詳細は『脂肪注入術』詳細をご覧ください。
ボトックス注射 ¥55,000
■リスク・副作用・合併症
脂肪注入術
ボトックス注射
【顔の他院修正】
施術名
ミドルリフト(SMAS法)+他院修正
![]() | ![]() |
|
![]() | ![]() | |
![]() | ![]() | |
Before | After (1カ月後) |
術前解説
この患者様は、他院でハイフを3回、その後糸リフトを受けられましたが、頬や口周りのたるみが気になり、当院でミドルリフトSMAS法を希望されました。術前は、左のマリオネットラインが深く、右はやや浅めで、右頬には糸リフトによると考えられる凹みが見られました。また、ハイフを繰り返し受けた影響で、脂肪が硬くなる変化(瘢痕化)が確認されました。
手術解説
手術では、SMAS(表在性筋膜)を引き上げながら、組織の引きつれを調整しました。糸の除去はできませんでしたが、周囲の組織を整えることで、頬の動きがスムーズになるようにしました。
術後解説
術後1カ月の経過では、マリオネットラインの若干の左右差は残るものの改善が見られ、特に横から見たフェイスラインがスッキリとしています。また、右頬の凹みも落ち着き、全体的に自然な仕上がりになっています。
■標準料金
ミドルリフトSMAS法 ¥550,000
※手術料金・麻酔料金・投薬料金・術後処置料金・再検診料金等を含みます。
他院修正料金 ¥11,000~220,000(難易度による)
他院相談料 紹介状あり¥3,300 紹介状なし¥5,500
■リスク・副作用・合併症
ミドルリフトSMAS法
【顔の他院修正】
施術名
凹んだ傷跡(陥凹性瘢痕)の修正;耳介軟骨移植(他院修正)
![]() |
![]() |
|
Before |
After(9.5カ月後) |
~ 症例の経過 ~
![]() |
![]() |
![]() |
切除デザイン |
耳介軟骨移植 |
切除した瘢痕部分 |
![]() |
![]() |
|
Before |
9.5カ月後 |
![]() |
![]() |
|
Before |
9.5カ月後 |
症例解説
顎の傷を他院で修正しましたが、瘢痕が目立つようになった症例です。瘢痕を除去し、耳介軟骨移植による修正を行いました。9.5カ月後の経過ですが、傷跡の凹みが目立たなくなっています。
■標準料金
傷跡修正:顔面 1cm×¥88,000
凹んだ傷(陥没変形)に対する耳介軟骨移植 ¥220,000
他院修正料金 ¥11,000~220,000(難易度による)
他院相談料 紹介状あり¥3,300 紹介状なし¥5,500
■リスク・副作用・合併症
傷跡修正+耳介軟骨移植術
【顔の他院修正】
施術名
他院でレーザー照射を行い凹んだ傷跡(肥厚性瘢痕)の修正
![]() |
![]() |
|
| Before | After (6.5カ月後) |

詳細解説
この症例は、過去に他院で黒子除去後にできた赤みをレーザーにより治療したところ、小鼻の横の凹み(肥厚性瘢痕)となり、当院での傷跡修正を希望されました。凹んだ箇所に耳介軟骨移植を行い、6.5カ月後ですが凹みが目立たなくなっています。
■標準料金
傷跡修正:顔面 1cm×¥88,000
凹んだ傷(陥没変形)に対する耳介軟骨移植 ¥220,000
他院修正料金 ¥11,000~220,000(難易度による)
他院相談料 紹介状あり¥3,300 紹介状なし¥5,500
■リスク・副作用・合併症
傷跡修正+耳介軟骨移植術
【口唇の傷跡】
施術名
口角の植皮跡の傷跡修正(他院修正)
![]() |
![]() |
|
before |
After (6カ月後) |
~ 症例の経過 ~
![]() |
![]() |
![]() |
Before(通常) |
デザイン(通常) |
6カ月後(通常) |
![]() |
![]() |
![]() |
Before(「う」の形) |
デザイン(「う」の形) |
6カ月後(「う」の形) |
![]() |
![]() |
![]() |
Before (「い」の形) |
デザイン (「い」の形) |
6カ月後 (「い」の形) |
![]() |
![]() |
|
before (通常) |
6カ月後 (通常) |
|
![]() |
![]() |
|
before (「う」の形) |
6カ月後 (「う」の形) |
|
![]() |
![]() |
|
before (「い」の形) |
6カ月後 (「い」の形) |
症例解説
口角に白斑があり、他院で植皮を行いましたが、当院にて他院修正を希望された症例です。
■標準料金
傷跡修正:顔面 1cm×¥88,000
他院修正料金 ¥11,000~220,000(難易度による)
他院相談料 紹介状あり¥3,300 紹介状なし¥5,500
■リスク・副作用・合併症
縫合による傷跡修正
【傷跡の再縫合(他院修正)】
施術名
他院で縫われた口唇部の傷跡の再縫合
![]() |
![]() |
|
before【他院の縫合】 |
After【当院の再縫合後】 (1年0.5カ月後) |
症例解説
この患者様は口唇部に怪我をして他院で治療を受けましたが、当院での再縫合を希望されたため他院修正を行いました。再縫合後1年半の経過ですが、傷跡は引きつれもなく綺麗になっています。
~ 症例の経過 ~
![]() |
![]() |
|
before 【他院の縫合】(通常) |
1年0.5カ月後 【当院の再縫合後】 (通常) |
|
![]() |
![]() |
|
before 【他院の縫合】(「う」の形) |
1年0.5カ月後 【当院の再縫合後】 (「う」の形) |
|
![]() |
![]() |
|
before 【他院の縫合】(「い」の形) |
1年0.5カ月後 【当院の再縫合後】 (「い」の形) |
■標準料金
傷跡修正:顔面 1cm×¥88,000
他院修正料金 ¥11,000~220,000(難易度による)
他院相談料 紹介状あり¥3,300 紹介状なし¥5,500
■リスク・副作用・合併症
縫合による傷跡修正
※症例写真は、参考画像であり効果や満足度には個人差がありますのでご了承ください。
※ヒルズ美容クリニックWEBサイト及び関連WEBサイトに掲載されている症例写真は、当院の患者様のご厚意により掲載許可を得ています。当サイトの写真・イラスト・文章等の無断転載・引用・使用を禁じます。




































































































































































































































術前解説
他院で二重まぶた(埋没法、術式は不明)の施術を受けた後に左右差が生じています。右目のラインは黒目の中央から、左目は多少の腫れもありますが幅が広く、黒目の内側からラインが作成されています。