症例写真一覧
二重まぶた(全切開・黒目拡大)
施術名
全切開による重瞼術(挙筋腱膜再固定術;黒目拡大)
Before
7.5カ月後
Before
7.5カ月後
■標準料金
二重まぶた(全切開)挙筋腱膜再固定術:黒目拡大 両側 ¥330,000
■リスク・副作用・合併症
二重まぶた(全切開)挙筋腱膜再固定術:黒目拡大
施術名
全切開による重瞼術
Before
5カ月後
~ この症例の経過 ~
![]() |
![]() |
|
Before | 5カ月後 |
![]() |
![]() | |
Before (閉瞼) | 5カ月後 (閉瞼) |
![]() |
![]() |
![]() |
Before |
1カ月後 |
5カ月後 |
![]() |
![]() |
![]() |
Before (閉瞼) |
1カ月後 (閉瞼) |
5カ月後 (閉瞼) |

術前解説
二重ライン(重瞼ライン)が明瞭ではなく、少し眠そうな印象がありました(眼瞼下垂はなし)。
手術解説
局所麻酔下にて全切開による重瞼術を行いました。
両眼瞼ともに瞼縁から二重ラインは7mmで切開、幅2.5mmの皮膚を切除しました。眼輪筋は切除していません。眼窩隔膜をhingeして睫毛側皮下(眼輪筋)に数カ所固定し、二重ラインの引き込みを作成しました。
術後解説
術後1カ月の開瞼では、二重ラインは高く腫れていますが瞼縁のアーチは綺麗です。閉瞼では、傷はまだ赤く少し肥厚しています。
術後5カ月の開瞼では、カラーコンタクトは入っていますが、二重ラインの高さが下がり目頭から目尻まで明瞭になりました。また瞼縁のアーチはとても綺麗です。閉瞼では、凹みもなく傷も綺麗です。全体的に眠そうな印象はなくなりました。
■標準料金
二重まぶた全切開法 両側 ¥297,000
■リスク・副作用・合併症
二重まぶた全切開法
施術名
全切開による重瞼術+ROOF除去術+目頭切開(Z形成術)
Before
After(1年1.5カ月後)
~ 症例の詳細 ~
![]() |
![]() |
|
Before(開瞼) |
1年1.5カ月後(開瞼) |
|
![]() |
![]() |
|
Before(閉瞼) |
1年1.5カ月後(閉瞼) |
![]() |
![]() |
![]() |
Before |
6カ月後 |
1年1.5カ月後 |
![]() |
![]() |
![]() |
Before (閉瞼) |
6カ月後 (閉瞼) |
1年1.5カ月後 (閉瞼) |
■標準料金
目頭切開術 両側 ¥275,000
ROOF除去術+全切開による重瞼術 両側 ¥385,000
■リスク・副作用・合併症
目頭切開術
ROOF除去術+全切開による重瞼術
施術名
全切開による重瞼術(挙筋腱膜再固定術;黒目拡大)
Before
After (6カ月後)
~ この症例の経過 ~
![]() |
![]() |
|
Before | 6カ月後 |
![]() | ![]() | |
Before (閉瞼) | 6カ月後 (閉瞼) |
![]() |
![]() |
![]() |
Before |
2カ月後 |
6カ月後 |
![]() |
![]() |
![]() |
Before (閉瞼) |
2カ月後 (閉瞼) |
6カ月後 (閉瞼) |
■標準料金
二重まぶた(全切開)挙筋腱膜再固定術:黒目拡大 両側 ¥330,000
■リスク・副作用・合併症
二重まぶた(全切開)挙筋腱膜再固定術:黒目拡大
施術名
全切開による重瞼術(挙筋腱膜再固定術;黒目拡大)
Before
8カ月後
~ この症例の経過 ~
![]() |
![]() |
|
Before | 8カ月後 |
![]() | ![]() | |
Before (閉瞼) | 8カ月後 (閉瞼) |
![]() |
![]() |
![]() |
Before |
2.5カ月後 |
8カ月後 |
![]() |
![]() |
![]() |
Before (閉瞼) |
2.5カ月後 (閉瞼) |
8カ月後 (閉瞼) |
手術解説
完全な一重まぶたに対して、全切開による重瞼術(挙筋腱膜再固定術;黒目拡大)を行いました。8カ月の経過ですが、二重ライン(重瞼ライン)の高さも落ち着いて綺麗な二重になっています。目も開きやすくなり、患者様ご本人も満足されています。
■標準料金
二重まぶた(全切開)挙筋腱膜再固定術:黒目拡大 両側 ¥330,000
■リスク・副作用・合併症
二重まぶた(全切開)挙筋腱膜再固定術:黒目拡大
施術名
全切開による重瞼術+眼窩脂肪除去術
Before
8カ月後
Before(閉瞼)
8カ月後(閉瞼)
■標準料金
眼窩脂肪除去術+全切開による重瞼術 両側 ¥385,000
■リスク・副作用・合併症
眼窩脂肪除去術+全切開による重瞼術
施術名
全切開による重瞼術(眼瞼下垂手術)+ROOF除去+眼窩脂肪除去
Before
After(4カ月後)
~ この症例の経過 ~
![]() |
![]() |
|
Before | 4カ月後 |
![]() | ![]() | |
Before (閉瞼) | 4カ月後 (閉瞼) |
![]() |
![]() |
![]() |
Before |
1カ月後 |
4カ月後 |
![]() |
![]() |
![]() |
Before(閉瞼) |
1カ月後(閉瞼) |
4カ月後(閉瞼) |

術前解説
完全な一重瞼で目の上が全体的に腫れぼったく、ご本人は目つきが悪いことを気にされていました。瞼縁から眉毛までの距離も長い状態で、開瞼時には眉毛が挙上しています。瞼裂高が左右共に約6mm、MRD(隔膜反射)が1mmと軽度下垂(挙筋機能はやや保たれており皮膚の厚さ、上眼瞼の脂肪が主な原因と考えます)です。
手術解説
局所麻酔下にて眼瞼下垂手術とROOFと眼窩脂肪除去を行いました。
両眼瞼ともに瞼縁から二重ライン(重瞼ライン)は約7 mmで切開、幅4mmの皮膚を切除しました。眼輪筋は切除していません。ROOFと眼窩脂肪を除去し、挙筋腱膜を同定し左右とも外角を外しました。挙筋腱膜を前転し瞼板に再固定しました。腱膜の断端を睫毛側皮下(眼輪筋)に数カ所固定し、二重ラインの引き込みを作成しました。
術後解説
術後1カ月の開瞼では、左右ともに二重ラインは高く腫れていますが、開瞼は良好で瞼縁のアーチは綺麗です。二重ラインの左右差を認めます。閉瞼では、傷は少し赤く盛り上がっています。
術後4カ月の開瞼では、カラーコンタクトは入っていますが、瞳孔にかかっていた瞼縁は上がり、黒目がよく見えるようになり下垂が改善されています。また瞼縁から眉毛までの距離が短くなりスッキリしました。二重ラインは右が末広がり、左はやや平行ですが、瞼縁のアーチがとても綺麗なため目立ちません。閉瞼では傷は綺麗で目立ちません。
■標準料金
眼窩脂肪+ROOF除去術+全切開による重瞼術 両側 ¥495,000
■リスク・副作用・合併症
眼窩脂肪+ROOF除去術+全切開による重瞼術
施術名
全切開による重瞼術+ROOF除去+眼窩脂肪除去+他院修正(埋没法を1回すみ)
Before
5年6カ月後
~ この症例の経過 ~
![]() |
![]() |
|
Before | 5年6カ月後 |
![]() | ![]() | |
Before (閉瞼) | 5年6カ月後(閉瞼) |
![]() |
![]() |
![]() |
Before |
10.5カ月後 |
5年6カ月後 |
![]() |
![]() |
![]() |
Before(閉瞼) |
10.5カ月後(閉瞼) |
5年6カ月後(閉瞼) |

術前解説
瞼が腫れぼったく重瞼ラインを押しつぶしているような印象です。重瞼ラインは右眼が平行、左眼が末広がりになっています。なお過去に他院で1回、埋没法による重瞼術を行ったが希望の幅にはならなかったとのことです。
手術解説
局所麻酔下にて全切開による重瞼術とROOF+眼窩脂肪除去を行いました。
両眼瞼ともに瞼縁から重瞼ラインは7mmで切開、幅3mmの皮膚を切除しました。眼輪筋は切除していません。ROOF(眼窩前脂肪)、眼窩脂肪を除去したあと、眼窩隔膜をhingeして睫毛側皮下(眼輪筋)に数カ所固定し、重瞼ラインの引き込みを作成しました。
術後解説
術後10カ月半の開瞼では、術前に右眼が平行、左眼が末広がりと異なっていた重瞼ラインが、両眼ともに平行になっています。重瞼ラインの幅に若干の左右差はあるものの、腫れぼったい印象も改善されスッキリしています。また瞼縁のアーチはとても綺麗です。閉瞼では傷はほとんど目立ちません。5年6カ月後の経過でも重瞼ラインはしっかり保たれており、自然な仕上がりが持続しています。
■標準料金
眼窩脂肪+ROOF除去術+全切開による重瞼術 両側 ¥495,000
他院修正料金 ¥11,000~220,000(難易度による)
他院相談料 紹介状あり¥3,300 紹介状なし¥5,500
■リスク・副作用・合併症
眼窩脂肪+ROOF除去術+全切開による重瞼術
施術名
全切開による重瞼術(挙筋腱膜再固定術;黒目拡大)+ ボトックス注射
Before
1カ月後
Before(閉瞼)
1カ月後(閉瞼)

手術解説
二重まぶた全切開(挙筋腱膜再固定術)により、二重ライン(重瞼ライン)を作成しました。この患者様は、挙筋腱膜が少し緩み、横走靱帯の影響もあって上まぶたが開きにくく眉毛を上げる傾向がありました。そのため、おでこにボトックス注射を行いました。術後1カ月の経過ですが、綺麗な二重まぶたになりました。眉毛も上げずに上まぶたを開くことができるようになっています。
■標準料金
二重まぶた(全切開)挙筋腱膜再固定術:黒目拡大 両側 ¥330,000
ボトックス注射 ¥55,000
■リスク・副作用・合併症
二重まぶた(全切開)挙筋腱膜再固定術:黒目拡大
ボトックス注射
施術名
全切開による重瞼術(挙筋腱膜再固定術;黒目拡大)+他院修正(重瞼ラインを下げる手術)
Before
8.5カ月後
Before(閉瞼)
8.5カ月後 (閉瞼)
症例解説
二重まぶた全切開を他院で行った症例ですが、当院で二重ライン(重瞼ライン)の幅を下げる修正手術を行いました。
■標準料金
二重まぶた(全切開)挙筋腱膜再固定術:黒目拡大 両側 ¥330,000
他院修正料金 ¥11,000~220,000(難易度による)
他院相談料 紹介状あり¥3,300 紹介状なし¥5,500
■リスク・副作用・合併症
二重まぶた(全切開)挙筋腱膜再固定術:黒目拡大
施術名
全切開による重瞼術(挙筋腱膜再固定術)+他院修正(全切開法を1回すみ)
Before
5カ月後
Before(閉瞼)
5カ月後 (閉瞼)
術後解説
他院で全切開を行いましたが、当院でやり直しを行った症例です。術後5カ月の経過ですが、二重のラインも改善され目も開きやすくなりました。
■標準料金
二重まぶた(全切開)挙筋腱膜再固定術:黒目拡大 両側 ¥330,000
他院修正料金 ¥11,000~220,000(難易度による)
他院相談料 紹介状あり¥3,300 紹介状なし¥5,500
■リスク・副作用・合併症
二重まぶた(全切開)挙筋腱膜再固定術:黒目拡大
施術名
全切開による重瞼術(挙筋腱膜再固定術)+ボトックス注射+他院修正(埋没法を2回、全切開法を1回、目頭切開すみ)
Before
1年3カ月後
Before(閉瞼)
1年3カ月後 (閉瞼)
術前解説
他院で二重埋没法を2回、全切開法を1回、目頭切開術を1回受けられた後、当院で全切開法のやり直しを行った症例です。この患者様は、左側の眼輪筋が薄いなど、まぶた周囲の構造に左右差がみられ、二重ラインの幅にも差が生じていました。また、眉を上げて目を開ける癖もありました。
手術解説
当院では、挙筋腱膜再固定術を行い、挙筋腱膜を瞼板および眼輪筋に再固定しました。同時に、眉を上げて目を開ける癖を抑える目的でボトックス注射も併用しました。
術後解説
術後1年3カ月の経過では、左右ともにくっきりとしたバランスの取れた二重ラインが形成されています。
■標準料金
二重まぶた(全切開)挙筋腱膜再固定術:黒目拡大 両側 ¥330,000
ボトックス注射 ¥55,000
他院修正料金 ¥11,000~220,000(難易度による)
他院相談料 紹介状あり¥3,300 紹介状なし¥5,500
■リスク・副作用・合併症
二重まぶた(全切開)挙筋腱膜再固定術:黒目拡大
ボトックス注射
施術名
ROOF除去+眼窩脂肪除去+全切開による重瞼術+自院修正(埋没法を2回施術すみ)
Before
5カ月後
Before(閉瞼)
5カ月後 (閉瞼)

術前解説
もともと腫れぼったい瞼でしたが、最初から全切開による重瞼術に抵抗があり、当院で2回、挙筋法による埋没法を行いました。初回の埋没法から3年経過しても、二重ライン(重瞼ライン)が安定しませんでした。
手術解説
局所麻酔下にて全切開による重瞼術を行いました。
両眼瞼ともに瞼縁から二重ラインは7mmで切開、幅3mmの皮膚を切除しました。眼輪筋は切除していません。ROOF(眼窩前脂肪)、眼窩脂肪を除去したあと、挙筋腱膜を同定し左右とも外角を外し瞼板に再固定しました。腱膜の断端を睫毛側皮下(眼輪筋)に数カ所固定し、二重ラインの引き込みを作成しました。
術後解説
術後5カ月の開瞼では、二重ラインは左右ともに末広がりで腫れぼったい印象も改善されスッキリしています。また瞼縁のアーチは綺麗です。閉瞼では傷はほとんど目立ちません。
■標準料金
眼窩脂肪+ROOF除去術+全切開による重瞼術 両側 ¥495,000
二重まぶた(埋没法)挙筋法 両側 ¥110,000
二重修正(埋没法) ¥5,500
■リスク・副作用・合併症
眼窩脂肪+ROOF除去術+全切開による重瞼術
二重まぶた埋没法(挙筋法)
施術名
全切開による重瞼術+ROOF除去+他院修正(埋没法を2回施術すみ)
Before
1年1.5カ月後:再修正後5.5カ月
~ この症例の経過 ~
![]() |
![]() |
|
Before | 1年1.5カ月後:再修正後5.5カ月 |
![]() | ![]() | |
Before (閉瞼) | 1年1.5カ月後:再修正後5.5カ月(閉瞼) |
![]() |
![]() |
![]() |
Before |
8カ月後 |
1年1.5カ月後:再修正後5.5カ月 |
![]() |
![]() |
![]() |
Before(閉瞼) |
8カ月後(閉瞼) |
1年1.5カ月後:再修正後5.5カ月 |

症例解説
二重ライン(重瞼ライン)の幅は狭く、瞼縁と眉毛との距離も狭い状態です。また眉毛外側の張り出しを認めます。なお過去に他院で2回埋没法による重瞼術を行ったが二重ラインが安定しなかったとのことです。
手術解説
局所麻酔下にて全切開による重瞼術とROOF除去を行いました。
両眼瞼ともに瞼縁から二重ラインは6mmで切開、幅2mmの皮膚を切除しました。眼輪筋は切除していません。ROOF(眼窩前脂肪)を除去したあと、挙筋腱膜を同定し瞼板に再固定しました。腱膜の断端を睫毛側皮下(眼輪筋)に数カ所固定し、二重ラインの引き込みを作成しました。
術後解説
術後経過は開瞼、閉瞼ともに良好でしたが、術後6カ月で左瞼縁のアーチが不整(三角目)にたっていたこと、また左右の二重ラインの幅が狭いことから術後8カ月で修正しました。修正は同じ切開線からアプローチし両側の外角を外したあと、挙筋腱膜を再固定し、その断端を睫毛側真皮に強固に固定しました。再修正から5.5カ月経過しましたが、開瞼では二重ラインは左右ともに安定し、両瞼縁のアーチは綺麗です。閉瞼では、傷はほとんど目立たなくなりました。
■標準料金
ROOF除去術+全切開による重瞼術 両側 ¥385,000
他院修正料金 ¥11,000~220,000(難易度による)
他院相談料 紹介状あり¥3,300 紹介状なし¥5,500
■リスク・副作用・合併症
ROOF除去術+全切開による重瞼術
施術名
全切開による重瞼術(挙筋腱膜再固定術;黒目拡大)
Before
After(2年6カ月後)
~ この症例の経過 ~
![]() |
![]() |
|
Befor | 2年6カ月後 |
![]() | ![]() | |
Before (閉瞼) | 2年6カ月後 (閉瞼) |
![]() |
![]() |
![]() |
Before |
1.5カ月後 |
2年6カ月後 |
![]() |
![]() |
![]() |
Before (閉瞼) |
1.5カ月後 (閉瞼) |
2年6カ月後 (閉瞼) |

術前解説
当院で2回、挙筋法による埋没法を行いました。初回の埋没法から1年8カ月経過しても、特に左目の二重ライン(重瞼ライン)が安定しませんでした。また瞼裂高に左右差を認めます。
手術解説
局所麻酔下にて全切開による重瞼術(挙筋腱膜再固定術;黒目拡大術)を行いました。
両眼瞼ともに瞼縁から二重ラインは7mmで切開、幅3mmの皮膚を切除しました。眼輪筋は切除していません。挙筋腱膜を同定し左右とも外角を外し瞼板に再固定しました。腱膜の断端を睫毛側皮下(眼輪筋)に数カ所固定し、二重ラインの引き込みを作成しました。
術後解説
術後1.5カ月の開瞼では、二重ラインは高く腫れています。閉瞼では、傷はまだ赤く少し肥厚しています。
術後2年6カ月の開瞼では、二重ラインの高さが下がりほぼ左右等しくなり、瞼裂高の左右差も改善され瞼縁のアーチも綺麗です。閉瞼では、傷の赤みや凹みを認めません。
■標準料金
二重まぶた(全切開)挙筋腱膜再固定術:黒目拡大 両側 ¥330,000
二重まぶた(埋没法)挙筋法 両側 ¥110,000
二重修正(埋没法)¥5,500
■リスク・副作用・合併症
二重まぶた(全切開)挙筋腱膜再固定術:黒目拡大
二重まぶた埋没法(挙筋法)
施術名
全切開による重瞼術(挙筋腱膜再固定術;黒目拡大)+他院修正(埋没法を1回施術すみ)
Before
After(5カ月後)
~ この症例の経過 ~
![]() |
![]() |
|
Befor | 5カ月後 |
![]() | ![]() | |
Before (閉瞼) | 5カ月後 (閉瞼) |
![]() |
![]() |
![]() |
Before |
2.5カ月後 |
5カ月後 |
![]() |
![]() |
![]() |
Before (閉瞼) |
2.5カ月後 (閉瞼) |
5カ月後 (閉瞼) |

術前解説
二重ライン(重瞼ライン)に左右差があり、左右ともに二重ラインの下に別の二重ラインを認めます。また過去に行った埋没法後に開瞼しにくい状態となったとのこと(医原性眼瞼下垂が生じたと思われます)です。瞼裂高が左右ともに約8mm、MRD(隔膜反射)が1.5mmとやはり軽度下垂です。
手術解説
局所麻酔下にて全切開による重瞼術(挙筋腱膜再固定術;黒目拡大術)を行いました。
両眼瞼ともに瞼縁から二重ラインは約7mmで切開しました。皮膚、眼輪筋ともに切除していません。挙筋腱膜を同定し瞼板に再固定しました。腱膜の断端を睫毛側皮下(眼輪筋)に数カ所固定し、二重ラインの引き込みを作成しました。
術後解説
術後2.5カ月の開瞼では、左右ともに二重ラインは高く腫れていますが瞼縁のアーチは綺麗です。閉瞼では、傷は少し赤い状態です。
術後5カ月の開瞼では、若干の左右差はあるものの、二重ラインの高さが下がり術前に認めた別の重瞼線も消失しました。開瞼も十分であり下垂は改善され、瞼縁のアーチはとても綺麗です。閉瞼では傷も綺麗です。
■標準料金
二重まぶた(全切開)挙筋腱膜再固定術:黒目拡大 両側 ¥330,000
他院修正料金 ¥11,000~220,000(難易度による)
他院相談料 紹介状あり¥3,300 紹介状なし¥5,500
■リスク・副作用・合併症
二重まぶた(全切開)挙筋腱膜再固定術:黒目拡大
施術名
全切開による重瞼術(挙筋腱膜再固定術;黒目拡大)
Before
2年3.5カ月後
Before (閉瞼)
2年3.5カ月後 (閉瞼)
手術解説
この患者様は当院で二重まぶた埋没法を行いましたが、3年11.5カ月が経過して右瞼の糸が緩み、左右差が生じたため、二重まぶた全切開(挙筋腱膜再固定術)で、再施術を行いました。全切開を行ってから2年3.5カ月が経過した状態ですが、自然な二重ライン(重瞼ライン)になり左右差も改善されています。
■標準料金
二重まぶた(全切開)挙筋腱膜再固定術:黒目拡大 両側 ¥330,000
二重まぶた(埋没法)挙筋法 両側 ¥110,000
■リスク・副作用・合併症
二重まぶた(全切開)挙筋腱膜再固定術:黒目拡大
二重まぶた埋没法(挙筋法)
施術名
全切開による重瞼術(挙筋腱膜再固定術;黒目拡大)+他院修正(埋没法を2回すみ)+自院修正(1回)
Before
修正後4.5カ月(初回~1年4.5カ月後)
~ この症例の経過 ~
↓症例の経過は下にスクロールで閲覧できます。
手術解説
他院で二重まぶた埋没法を2回行った症例です。左瞼のラインが薄くなり左右差が生じたため当院で全切開法による修正を希望されました。左瞼の癖による後戻りで一度修正を行いましたが、修正後4.5カ月(初回~1年4.5カ月後)の経過では左右差が改善されています。
■標準料金
二重まぶた(全切開)挙筋腱膜再固定術:黒目拡大 両側 ¥330,000
他院修正料金 ¥11,000~220,000(難易度による)
他院相談料 紹介状あり¥3,300 紹介状なし¥5,500
二重修正(切開法) ¥11,000
■リスク・副作用・合併症
二重まぶた(全切開)挙筋腱膜再固定術:黒目拡大
施術名
全切開による重瞼術(挙筋腱膜再固定術;黒目拡大)+自院修正(両瞼1回・片瞼各1回)
Before
修正後5カ月(初回~4年3カ月後)
Before(閉瞼)
修正後5カ月(初回~4年3カ月後)(閉瞼)
~ この症例の経過 ~
↓症例の経過は下にスクロールで閲覧できます。
手術解説
初回は二重まぶた埋没法を行いましたが、二重ライン(重瞼ライン)の幅に左右差が生じるなどがあり、全切開法で複数回修正手術を行った症例です。参考に初回から一連の経過を掲載します。
■標準料金
二重まぶた(全切開)挙筋腱膜再固定術:黒目拡大 両側 ¥330,000
二重まぶた(埋没法)挙筋法 両側 ¥110,000
二重修正(切開法) ¥11,000
■リスク・副作用・合併症
二重まぶた(全切開)挙筋腱膜再固定術:黒目拡大
二重まぶた埋没法(挙筋法)
施術名
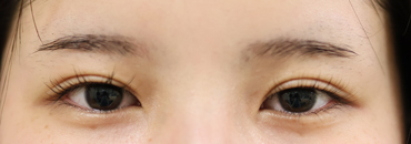
全切開による重瞼術(挙筋腱膜再固定術;黒目拡大)+ ボトックス注射
Before
After(7.5カ月後)
~ この症例の経過 ~
![]() |
![]() |
|
Befor | 7.5カ月後 |
![]() | ![]() | |
Before (閉瞼) | 7.5カ月後 (閉瞼) |
![]() |
![]() |
![]() |
Before |
1カ月後 |
7.5カ月後 |
![]() |
![]() |
![]() |
Before (閉瞼) |
1カ月後 (閉瞼) |
7.5カ月後 (閉瞼) |
術前解説
この患者様は、腱膜性眼瞼下垂があり、もともと一重まぶたで、横走靭帯の影響も重なり、上まぶたが開きにくい状態でした。
手術解説
全切開による二重術(挙筋腱膜再固定術;黒目拡大)を行いました。術中の観察では、挙筋腱膜が伸びており、横走靭帯も太く、開瞼しづらい状態でした。そこで、横走靭帯の外側を切離し、挙筋の動きを制限していた要因を解除。その後、挙筋腱膜を瞼板に再固定し、二重のラインを形成しました。さらに、おでこを使ってまぶたを開ける癖を改善するため、ボトックス注射を施しました。
術後解説
術後1カ月では、まだ腫れが残るものの、左右均等な二重が形成され、眉毛を動かさずに上まぶたを開けられるようになりました。7.5カ月後の経過では、二重のラインがきれいに整い、まぶたの傷跡もほとんど目立たなくなりました。はっきりとした二重が自然に馴染んだことで、より引き締まった印象になっています。さらに、ボトックスの効果は徐々に薄れてきていますが、自然にまぶたを開ける動作が定着しています。
■標準料金
二重まぶた(全切開)挙筋腱膜再固定術:黒目拡大 両側 ¥330,000
ボトックス注射 ¥55,000
■リスク・副作用・合併症
二重まぶた(全切開)挙筋腱膜再固定術:黒目拡大
ボトックス注射
施術名
全切開による重瞼術+ ボトックス注射
Before(二重まぶた埋没法施術前)
全切開による修正後7.5カ月
(二重まぶた埋没法~:2年3カ月)
Before(二重まぶた埋没法施術前)
全切開による修正後7.5カ月
(二重まぶた埋没法~:2年3カ月)
症例解説
この患者様は一重まぶたで、目を開ける際に眉を上げる癖がありました。最初に当院で瞼板法による埋没法とボトックス注射を行いました。ボトックス注射は、眉を上げて目を開ける癖を抑えることで、埋没法の糸が緩みにくくなるように併用しています。
その後の経過観察で、ボトックスの効果が薄れて再び眉を上げる動きが出て、徐々に二重ラインが不明瞭になってきたため、二重埋没施術から1年7.5カ月後に全切開法による重瞼術を行いました。このときも、ボトックス注射を併用しています。
全切開による修正後7.5カ月の経過では、くっきりとした自然な二重ラインが形成されています。眉毛を上げずに目を開けることもできています。
~ この症例の経過 ~
↓症例の経過は下にスクロールで閲覧できます。
■標準料金
二重まぶた全切開法 両側 ¥297,000
二重まぶた埋没法(瞼板法) 両側 ¥110,000
ボトックス注射 ¥55,000
■リスク・副作用・合併症
二重まぶた全切開法
二重まぶた埋没法(瞼板法)
ボトックス注射
施術名
全切開による重瞼術+ROOF除去術
Before
1カ月後
Before(閉瞼)
1カ月後(閉瞼)
■標準料金
ROOF除去術+全切開による重瞼術 両側 ¥385,000
■リスク・副作用・合併症
ROOF除去術+全切開による重瞼術
施術名
全切開による重瞼術(挙筋腱膜再固定術;黒目拡大)+自院修正(1回)+ ボトックス注射
Before(二重まぶた埋没法施術前)
全切開による修正後1カ月
(二重まぶた埋没法初回~:5年10.5カ月)
症例解説
当院で全切開による挙筋腱膜再固定術を行った後、さらに修正施術と直後にボトックス注射を行った症例です。修正施術後1カ月後の経過では、はっきりとした二重ラインが形成されています。
この患者様は、5年2.5カ月前に当院で二重まぶた埋没法(挙筋法)を行いましたが、経年による糸の緩みにより二重ラインがぼやけた状態でした。もともと一重で、おでこの筋肉を使って眉を持ち上げて目を開ける癖があったため、埋没法のみでは、二重ラインが安定しにくい状態でした。
そこで全切開による挙筋腱膜再固定術を実施しましたが、術後に二重ラインの左右差と不安定さが残ったため、再度修正手術を行うことになりました。同時に、おでこを無意識に使わないようボトックス注射も併用しました。修正後1カ月後の経過では、額の力を使わずに自然に目を開けられるようになり、二重の形も安定しています。
~ この症例の経過 ~
↓症例の経過は下にスクロールで閲覧できます。
■標準料金
二重まぶた(全切開)挙筋腱膜再固定術:黒目拡大 両側 ¥330,000
二重まぶた埋没法(挙筋法) 両側 ¥110,000
二重修正(切開法) ¥11,000
二重修正(埋没法) ¥5,500
ボトックス注射 ¥55,000
■リスク・副作用・合併症
二重まぶた(全切開)挙筋腱膜再固定術:黒目拡大
二重まぶた埋没法(挙筋法)
ボトックス注射
施術名
全切開による重瞼術(挙筋腱膜再固定術;黒目拡大)
Before
全切開による修正後1カ月
(初回:埋没法~6年6.5カ月後)
~ この症例の経過 ~
↓症例の経過は下にスクロールで閲覧できます。
手術解説
当院で挙筋法による埋没法を行った後、全切開による挙筋腱膜再固定術を行った症例です。この症例は、長期経過のなかで、左右差、加齢等があり、埋没~留め直し~切開法へと施術が加えられました。加齢と共に上まぶたの皮膚は余り、挙筋腱膜は間延びしていきます。つまり眼瞼下垂の状態へと変化していくことになります。
眼瞼下垂がない場合は、最初に行う施術は埋没法でよいと思います。
しかし、今回の症例では留め直しを2回行いましたが、このように、1回以上留め直しを行っても再度瞼のラインが下がって来た場合は、切開に切り替えたほうがよいと考えられます。
■標準料金
二重まぶた(全切開)挙筋腱膜再固定術:黒目拡大 両側 ¥330,000
二重まぶた埋没法(挙筋法) 両側 ¥110,000
二重修正(埋没法) ¥5,500
■リスク・副作用・合併症
二重まぶた(全切開)挙筋腱膜再固定術:黒目拡大
二重まぶた埋没法(挙筋法)
施術名
全切開による重瞼術+ROOF除去+他院修正(埋没法を1回すみ)
Before
修正後1カ月(初回~3年5カ月後)
~ この症例の経過 ~
↓症例の経過は下にスクロールで閲覧できます。
手術解説
他院で二重まぶた埋没法を1回行った症例です。右瞼のラインが薄くなり左右差が生じたため、当院で埋没法による修正を行いました。しかし経過とともに上瞼の脂肪により糸が緩み、ラインが出づらくなっていたため、術後3年4カ月が経過した段階で、ROOF除去術と全切開術を行いました。修正後1カ月(初回~3年5カ月後)の経過(カラーコンタクト装着)では左右差が改善され、まぶたの厚みも気にならなくなりました。
■標準料金
ROOF除去術+全切開による重瞼術 両側 ¥385,000
二重まぶた埋没法(挙筋法) 両側 ¥110,000
他院修正料金 ¥11,000~220,000(難易度による)
他院相談料 紹介状あり¥3,300 紹介状なし¥5,500
■リスク・副作用・合併症
ROOF除去術+全切開による重瞼術
二重まぶた埋没法(挙筋法)
施術名
全切開による重瞼術(挙筋腱膜再固定術;黒目拡大)
Before
6年7.5カ月後(全切開施術2年6.5カ月後)
Before(閉瞼)
6年7.5カ月後(全切開施術2年6.5カ月後)(閉瞼)
症例解説
当院で挙筋法による埋没法を行った後、埋没の糸が外れてしまったため全切開による挙筋腱膜再固定術を行った症例です。この症例のような完全な一重まぶたの場合、横走靱帯が太く開瞼を妨げている可能性が高く、本来まぶたを引き込む上眼瞼挙筋だけでなく前頭筋(額の筋肉)を使って開瞼していることが多くなります。このような場合は、埋没法(挙筋法や瞼板法)を行っても、埋没の糸がゆるむ、あるいは外れる可能性が高くなります。そのため、この症例は本来は全切開の適応になります。
全切開による挙筋腱膜再固定術から2年6.5カ月後の経過では、左右ともに綺麗な二重ライン(重瞼ライン)になっており、また閉瞼時の傷跡も目立ちません。
~ この症例の経過 ~
↓症例の経過は下にスクロールで閲覧できます。
■標準料金
二重まぶた(全切開)挙筋腱膜再固定術:黒目拡大 両側 ¥330,000
二重まぶた(埋没法)挙筋法 両側 ¥110,000
二重修正(埋没法) ¥5,500
■リスク・副作用・合併症
二重まぶた(全切開)挙筋腱膜再固定術:黒目拡大
二重まぶた埋没法(挙筋法)
※症例写真は、参考画像であり効果や満足度には個人差がありますのでご了承ください。
※ヒルズ美容クリニックWEBサイト及び関連WEBサイトに掲載されている症例写真は、当院の患者様のご厚意により掲載許可を得ています。当サイトの写真・イラスト・文章等の無断転載・引用・使用を禁じます。







































































































手術解説
二重まぶた全切開(挙筋腱膜再固定術)により、二重ライン(重瞼ライン)の幅の調整を行いました。術後7.5カ月の経過(カラーコンタクト装着)ですが、綺麗な二重まぶたになっています。